CASE REPORT

Fibrolamellar Carcinoma with DNAJB1-PRKACA Fusion in a 16-Year-Old: Case Report and Review of Literature

Varsha Prakash, Neha Varshney*

Department of Pathology, University of Mississippi Medical Center, Jackson, MS, USA

Abstract

Fibrolamellar hepatocellular carcinoma (FLC) is a unique primary liver malignancy arising in noncirrhotic livers of young adults with an incidence of 0.02 per 100,000 in the USA (1). In the 5th edition of the WHO classification of the digestive system tumors published in 2019, fibrolamellar carcinoma is categorized as a subset of hepatocellular carcinoma (HCC). In 2014, the unique DNAJB1-PRKACA chimeric fusion protein was identified. Later studies proved this chimeric fusion protein as the main pathological driver in the disease manifestation of fibrolamellar carcinoma. Despite the invention of specific molecular genetic alteration in FLC, its oncogenic role and implication in FLC treatment remain an enigma. Surgical resection remains the primary therapeutic option, and the recurrence rate is extremely high (1). We present a case of fibrolamellar carcinoma in a pediatric patient with the PRKACA rearrangement resulting in DNAJB1-PRKACA fusion.

Key words: DNAJB1-PRKACA fusion, fibrolamellar carcinoma, hepatocellular carcinoma, mixed fibrolamellar hepatocellular carcinoma, PRKACA rearrangement

Received: 2 June 2022; Accepted after Revision: 6 July 2022; Published: 19 July 2022

Author for correspondence: Neha Varshney, MD, Assistant Professor, Department of Pathology, University of Mississippi Medical Center, 2500 North State Street, Jackson, MS 39216-4500, USA. Email: nehavarshn@gmail.com

How to cite: Prakash V and Varshney N. Fibrolamellar Carcinoma with DNAJB1-PRKACA Fusion in a 16-Year-Old: Case Report and Review of Literature. J Ren Hepat Disord. 2022 6(2):1–7

Doi: http://dx.doi.org/10.15586/jrenhep.v6i2.147

Copyright: Prakash V, Varshney N

License: This open access article is licensed under Creative Commons Attribution 4.0 International (CC BY 4.0). http://creativecommons.org/licenses/by/4.0

Introduction

Hepatocellular carcinoma (HCC) is the sixth most common cancer worldwide and the fourth major cause of cancer-related death. Conventional HCC typically presents in individuals in their fifties and sixties with underlying chronic liver disease or cirrhosis caused by hepatitis B or C virus infection, alcohol intake, or metabolic syndromes. However, HCC remains the most common liver malignancy in children and young adults. Conventional HCC usually harbor TP53 and β-catenin (CTNNB1) mutations. Edmondson, in 1956, first described Fibrolamellar carcinoma (FLC), a rare and unique primary hepatocellular malignancy (2). Fibrolamellar carcinoma typically arises from the noncirrhotic liver. Fibrolamellar carcinoma affects mostly late adolescents and young adults. Approximately 80% of FLCs occur in individuals aged between 10 and 40 years, with an average age of presentation of 25 years. Men and women are affected equally (3). The most common manifestation of FLC is an abdominal mass. FLCs demonstrate activation of protein kinase A, most commonly through a DNAJB1-PRKACA fusion, secondary to intrachromosomal deletion on chromosome 19. FLCs frequently present late recurrences with a 5-year recurrence-free survival of up to 50%. We are presenting a case of a 16-year-old female with abdominal mass, hepatomegaly, and multiple lung masses concerning metastasis. This paper emphasizes the clinical presentation, the characteristic gross and microscopic findings, molecular pathology prognosis, and unique characteristics that differentiate fibrolamellar carcinoma from other variants of HCC.

Case Summary

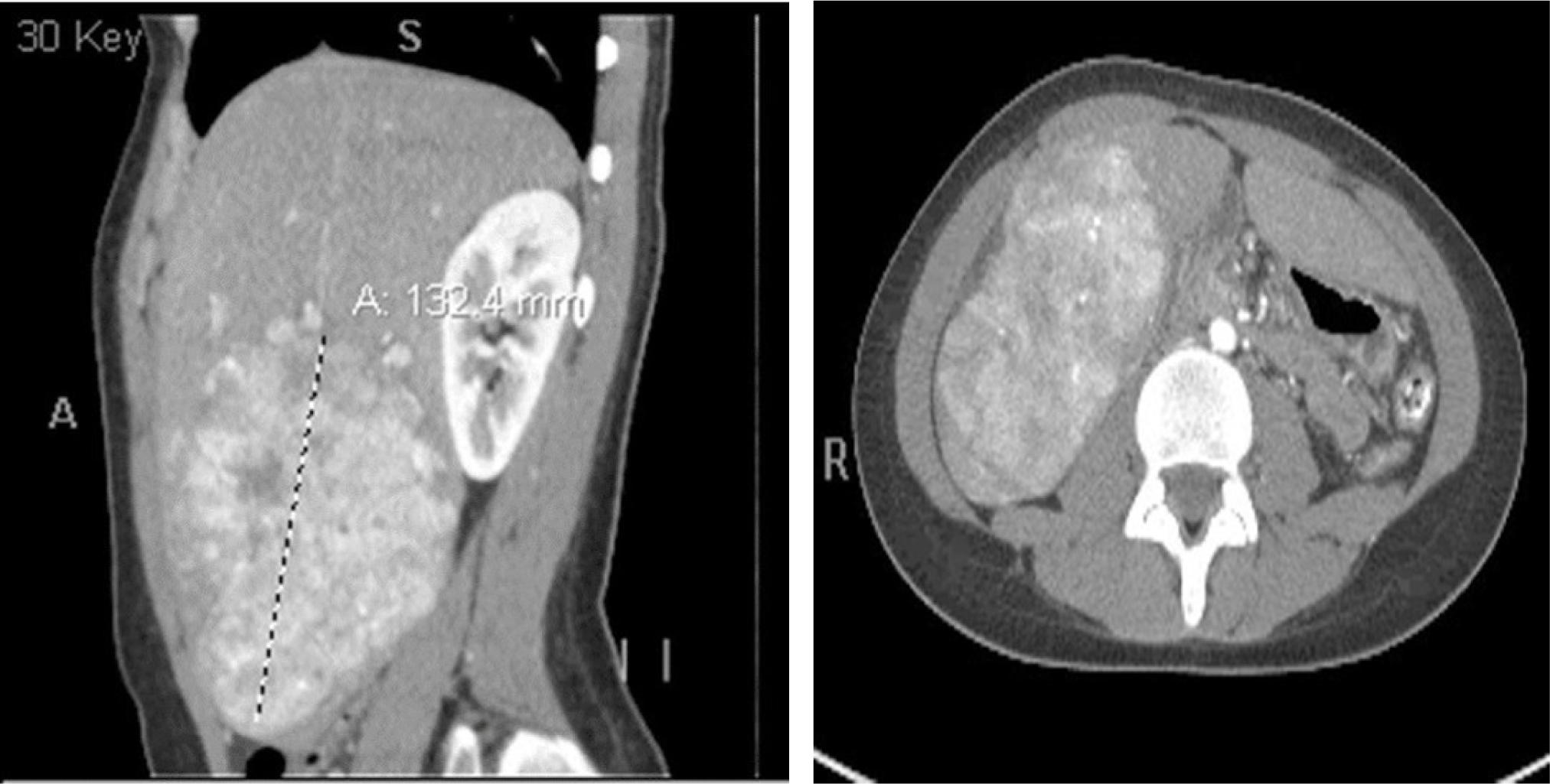
Our patient is a 16-year-old female who presented with abdominal pain for the past 8 months. She had a fever and an unintentional seven lb. weight loss. She also had tonsillar exudates, cervical lymphadenopathy, and hepatomegaly. Her monospot test was positive. CT abdomen with IV contrast shows a large (13 cm) heterogeneous appearing, highly vascular nodular right hepatic mass (Figure 1). The mass appears expansile/exophytic, and is associated with hepatomegaly. Additional smaller nodular masses were noted in liver segments 4,7, 8, and porta hepatis, which encircle the portal vein. CT chest with IV contrast reveals three distinct soft tissue nodules in the lungs concerning distant metastases of known liver mass. CA 19-9 was elevated; alpha-fetoprotein and CEA are normal. Subsequently, an IR biopsy was performed.

Figure 1: CT abdomen with IV contrast shows heterogeneous appearing, vascular nodular right mass of around 13 cm.

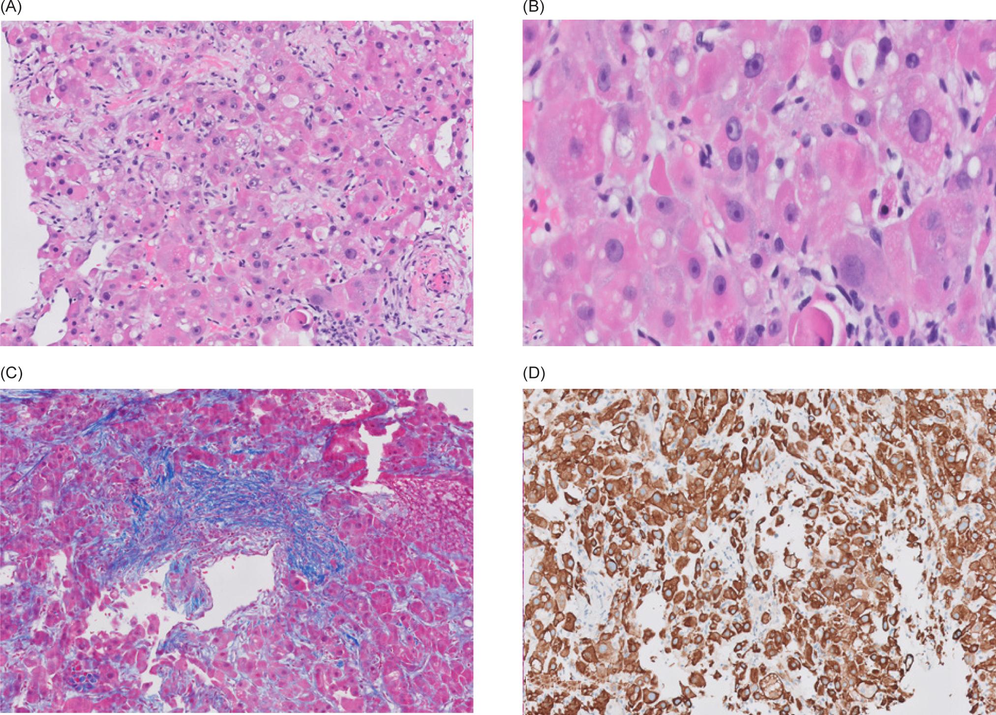
On pathological examination, the tumor is composed of large and polygonal cells with well-defined cell borders, abundant granular eosinophilic cytoplasm, and moderate nuclear atypia with prominent macro nucleoli. The neoplastic cells are arranged in cords and pseudo acinar formation (small nests) around the canaliculi separated by dense acellular collagenized stroma. Pale hyaline bodies are also seen. The fibrous bands merge into a central scar. CK-7 was solid and diffuse positive, PASD highlighted the hyaline bodies, trichrome showed collagen bundles, and reticulum showed abnormal architecture. CD34 performed was negative. Histopathology and immunohistochemistry favored fibrolamellar hepatocellular carcinoma (FLC) (Figure 2). The specimen was sent for fluorescence in situ hybridization (FISH) molecular analysis. FISH results showed a molecular rearrangement involving the PRKACA gene region (19p13.20) with loss of the 5’PRAKACA probe and retention of the 3’ PRKACA probe. This signal pattern has been correlated with the DNAJB1-PRKACA fusion event and clinically associated with fibrolamellar carcinoma (4). A diagnosis of fibrolamellar carcinoma is made. The patient is scheduled for chemotherapeutic management followed by surgical resection.

Figure 2: (A) Fibrolamellar carcinoma with sheets of neoplastic cells and intratumoral fibrosis (Hematoxylin and eosin, 10× magnification); (B) Polygonal cells with abundant granular eosinophilic cytoplasm, pale bodies, nuclei with open chromatin, and prominent macronucleoli (Hematoxylin and eosin, 40 × magnification); (C) Intratumoral fibrosis highlighted by trichrome stain (10 × magnification); (D) Neoplastic cells show diffuse intense positive staining with cytokeratin 7 (Hematoxylin and eosin, 20 × magnification).

Discussion

In the 5th edition of WHO classification of the tumors of the digestive system, in addition to the conventional HCC, the WHO recognized eight morphological subtypes of HCC: Fibrolamellar HCC, Scirrhous HCC, clear cell type HCC, steatohepatitis type HCC, Macro trabecular massive HCC, Chromophobe HCC, Neutrophil rich HCC, and Lymphocyte rich HCC.

Fibrolamellar carcinoma is mainly seen in young adults. It is rarely seen in patients aged above 50 years. The most common clinical finding is abdominal pain or a palpable mass. Other gastrointestinal symptoms are abdominal distention from ascites, gynecomastia due to associated high levels of aromatase expression, rarely altered mental status secondary to hyperammonemia, and acquired ornithine transcarboxylase deficiency. This can metastasize to the lymph nodes, peritoneum, lung, and in rare cases brain. Serum levels of aspartate aminotransferase and alanine aminotransferase can be normal or mildly elevated. Alpha-fetoprotein (AFP) levels are normal, although approximately 10% of reported cases have had AFP elevations in the 200 ng/mL range or greater (5). More than 50% of the patients affected by Fibrolamellar carcinoma are Caucasian, while greater than 80% of patients with conventional HCC are Caucasian (6). Cirrhotic liver morphology is seen in less than 10% of patients diagnosed with Fibrolamellar carcinoma (7).

Imaging

Imaging studies usually show a solitary mass with well-defined margins with decreased attenuation. The mass demonstrates increased contrast avidity in the arterial phase, reflecting these tumors’ high blood supply. Most of the patients exhibit a calcified central scar which shows contrast avidity in this later phase. Focal nodular hyperplasia, Giant cavernous hemangioma, and HCC are the differential diagnoses based on radiological findings.

Gross and Histopathology

Fibrolamellar carcinoma forms a multinodular, large, and tan-colored mass with a green hue due to bile production by the neoplastic cells. A central scar is noted in most cases, often calcified (9, 10). The adjacent nonneoplastic liver is noncirrhotic. Fibrolamellar carcinoma shows nests and sheets of large polygonal tumor cells with vesicular nuclei and single prominent nucleoli. They present with abundant granular eosinophilic cytoplasm and have fibrous stroma composed of collagen. Pale hyaline bodies are identified more frequently than in conventional HCC.

Immunohistochemistry

Fibrolamellar carcinoma expresses markers of hepatocellular differentiation like HepPar1 and Arginase. Keratin 7 and CD68 are helpful affirmative markers for FLC diagnosis in 85 to 90% of cases (11). CK19, fibrinogen (pale bodies), alpha-1 antitrypsin, polyclonal CEA, and CAM 5.2 (CK8 / 18) are other immunohistochemical markers that show positive expression in fibrolamellar carcinoma. Liver fatty acid-binding protein (LFABP) shows negative expression in tumor cells similar to conventional HCC.

Molecular Pathology

DNAjb1 gene encodes DnaJ or Hsp 40 (heat shock protein 40 kD) protein that stimulates the ATPase activity of Hsp70 heat-shock proteins to promote protein folding and prevent misfolded protein aggregation. PRKACA gene encodes one of the catalytic subunits of protein kinase A (12). Honeyman et al. discovered a novel somatic 400 kb deletion on the short arm of chromosome 19, giving rise to DNAJB1–PRKACA gene fusion protein. The chimeric protein product of the DNAJB1-PRKACA fusion connects exon 1 of DNAJB1 to exons 2–10 of PRKACA, maintaining the N-terminal of the DnaJ heat-shock protein and the kinase domain of PRKACA functional. This chimeric fusion protein activates the kinase activity of PRKACA catalytic subunit alpha and functions as the oncogenic driver of fibrolamellar carcinoma (13). Conventional cytogenetic techniques initially failed to identify this 400 kbp deletion and were later discovered using RNA sequencing in 2014. DNAJB1-PRKACA fusions are identified by targeted RNA fusion panel sequencing or by PRKACA break apart fluorescent in situ hybridization. FISH-based testing is highly specific for FLC (11). DNAJB1-PRKACA chimeric fusion protein has also been reported in tumors of pancreaticobiliary origin, questioning the relation of fibrolamellar carcinoma to other gastrointestinal tumors (14) (Figure 3). Recently, a clinical test for fibrolamellar carcinoma was developed based on FISH to detect the PRKACA rearrangement and was positive in all 26 cases of fibrolamellar carcinoma and none of the conventional HCCs. Rare cases are characterized by biallelic PRKAR1A loss (primarily in patients with the Carney complex) instead of the above fusion gene (15). A single claim characterized by PRKACA amplification without genomic changes has been identified (9). Fibrolamellar carcinomas show fewer chromosomal abnormalities than those reported in conventional HCC literature (16).

Figure 3: The oncogenic driver of fibrolamellar carcinoma is the fusion of DNAJB1 and PRKACA on chromosome 19. The fusion product connects exon 1 of DNAJB1, which encodes the N-terminal of the DnaJ heat-shock domain, to exons 2–10 of PRKACA, which encode most of the kinase domain and the C-terminus. DNAJB1–PRKACA gene fusion activates the kinase activity of protein kinase A catalytic subunit alpha.

Differential Diagnosis

The chief morphologic mimics of FLC are scirrhous HCC, conventional HCC, poorly differentiated cholangiocarcinoma, and metastatic pancreatic neuroendocrine tumors. Both HCC and the scirrhous variant of HCC arise in a background of cirrhosis and are characterized by serum AFP elevation (17). Scirrhous HCC may express CK7- and CK19-like FLC but may be negative for hepatocellular markers (18, 19). Both cholangiocarcinoma and FLC are associated with prominent fibrosis, but the cytomorphologic characteristics of FLC differ from cholangiocarcinoma (9). Mixed FLC is a unique and rare liver tumor defined by pure FLC and conventional hepatocellular components. It has a worse prognosis than its solitary counterparts. (20). Tumors with HCC and FLC histological features have been described as mixed FLC (Table 1). Mixed-FLC/HCC is frequently seen in older females, all above 35 years, and have a poor prognosis. Similar to FLC, Mixed FLC/HCC is seen in patients with no underlying liver cirrhosis. BAP-1 inactivating alterations are identified in mixed-FLC/HCC instead of DNAJB1-PRKACA fusion (21)

Table 1: Key distinguishing features of morphologic mimics of fibrolamellar carcinoma.

  Fibrolamellar carcinoma Conventional hepatocellular carcinoma Mixed FLC/HCC Scirrhous hepatocellular carcinoma Focal nodular hyperplasia Cholangiocarcinoma
Age group Young adults Middle age– older adults Middle age–older adults Middle age–older adults Young adults Older adults
Cirrhosis No Cirrhosis Frequent Cirrhosis No Cirrhosis Frequent Cirrhosis No Cirrhosis No Cirrhosis
AFP Normal serum AFP Elevated serum AFP Elevated serum AFP Hypercalcemia and high serum AFP Normal serum AFP Elevated serum AFP
Histology Monotonous cells with abundant granular cytoplasm and intratumoral fibrosis Usually, regional heterogeneity Conspicuous nuclear pleomorphism Histological features of both HCC and FLC Abundant fibrous stroma; conspicuous nuclear pleomorphism; typically, no macronuclei Abnormal vessels within the central scar; presence of ductular reaction in fibrous bands; lesional cells lack the cytologic features of FLC Infiltrating well-formed or cribriform glands in an abundant fibrous stroma
Immunophenotype Frequent CK7 and CD68 coexpression; Positive for HepPar1 and arginase 1 Rare CK7 and CD68 coexpression;positive for HepPar1 and arginase 1 Frequent CK7 and CD68 coexpression; positive for HepPar1 and arginase 1 CK7 and arginase 1 positive Map-like glutamine synthetase positive CK7, CK19 positive; HepPar1 and arginase 1 are typically negative
Molecular characteristics DNAJB1-PRKACA fusion TERT, TP53 CTNNB1, and rarely GNAS BAP1, PRKACA gains and PRKACA deletions TSC1/TSC2 mutations Alteration of the angiopoietin genes (ANGPT1 and ANGPT2) KRAS, BRAF, EGFR, IDH1/IDH2, MET, activation of mTOR, overexpression of cyclin D1, overexpression of p21, inactivating mutations of DPC4/SMAD4 and TP53
Regional nodes and peritoneal spread Frequently present Uncommon Uncommon Uncommon Uncommon Uncommon

Treatment and Prognosis

Ruptured FLC occurs rarely, and mortality in the acute phase is very high. However, after complete surgical resection, disease recurrence is high in the first 5 years. FLCs frequently present with late recurrences; 5-year recurrence-free survival is approximately 10 to 20%. Tumors > 5 cm in size are at high risk for a rupture with increased mortality and recurrence rates secondary to significant tumor spillage. While an emergency hepatectomy is preferred in unstable patients, hemodynamically stable patients can undergo radiologic transarterial embolization for hemostasis followed by staged hepatectomy (8). Vena cava obstruction has also been reported, but this is less common. FLC may uncommonly present with paraneoplastic manifestations. FLC often presents with regional lymph node metastases and spreads along the peritoneum. Ovarian metastases have been reported (9).

The most common site of FLC metastasis is the lung which is consistent with our case. In most HCC patients, distant metastases present as small solitary nodules. (11, 22). Even though surgery is the primary mode of treatment, only 30% of newly diagnosed patients undergo surgery, and the 5-year survival rate is less than 80% (23). Regardless of combination with neoadjuvant chemotherapy, surgery offers better survival than systemic therapy alone (24). Most inoperable HCC cases remain unresponsive to chemotherapy, with a poor prognosis (25).

Conclusion

Fibrolamellar carcinoma is emerging as a distinct entity on its own due to its origin from a structurally and functionally normal liver and its unique pathological and molecular characteristics. Even though imaging techniques like CT and MRI play a role in diagnosing FLC, a combination of histopathological examination and molecular characterization is critical for an accurate diagnosis.

Acknowledgments

Much appreciation to our pathology resident, Hardik Sonani MD, for helping with the clinical finding in our case.

Conflict of Interest

The authors declare no potential conflicts of interest concerning this article’s research, authorship, and/or publication.

REFERENCES

1. Kersten CA, Sloey EN, Zhou E, Peng Y, Torbenson MS, Guo Y. Fibrolamellar hepatocellular carcinoma: Exploring molecular mechanisms and differentiation pathways to better understand disease outcomes and prognosis. Liver Res. 2017;1(4):187–92. 10.1016/j.livres.2017.12.003

2. Edmondson HA. Differential diagnosis of tumors and tumor-like lesions of the liver in infancy and childhood. AMA J Dis Child. 1956 Feb;91(2):168–86. 10.1001/archpedi.1956.02060020170015

3. Mavros MN, Mayo SC, Hyder O, Pawlik TM. A systematic review: Treatment and prognosis of patients with fibrolamellar hepatocellular carcinoma. J Am Coll Surg. 2012 Dec;215(6):820–30. 10.1016/j.jamcollsurg.2012.08.001

4. Graham RP, Jin L, Knutson DL, Kloft-Nelson SM, Greipp PT, Waldburger N, et al. DNAJB1-PRKACA is specific for fibrolamellar carcinoma. Mod Pathol. 2015 Jun;28(6):822–9. 10.1038/modpathol.2015.4

5. Torbenson M. Review of the clinicopathologic features of fibrolamellar carcinoma. Adv Anat Pathol. 2007 May;14(3):217–23. 10.1097/PAP.0b013e3180504913

6. El-Serag HB, Davila JA. Is fibrolamellar carcinoma different from hepatocellular carcinoma? A US population-based study. Hepatology. 2004 Mar;39(3):798–803. 10.1002/hep.20096

7. Smith M, Tomboc PJ, Markovich B. Fibrolamellar hepatocellular carcinoma. StatPearls. Treasure Island, FL: StatPearls Publishing; 2022.

8. Polavarapu AD, Ahmed M, Samaha G, Weerasinghe CK, Deeb L, Sokoloff A. Spontaneous rupture of fibrolamellar variant hepatocellular carcinoma. Gastroenterology Res. 2019 Jun;12(3):166–70. 10.14740/gr1148

9. Graham RP. Fibrolamellar carcinoma: What is new and why it matters. Surg Pathol Clin. 2018 Jun;11(2):377–87. 10.1016/j.path.2018.02.006

10. Ichikawa T, Federle MP, Grazioli L, et al. Fibrolamellar hepatocellular carcinoma: Imaging and pathologic findings in 31 recent cases. Radiology. 1999;213:352–61. 10.1148/radiology.213.2.r99nv31352

11. Craig JR, Peters RL, Edmondson HA, Omata M. Fibrolamellar carcinoma of the liver: A tumor of adolescents and young adults with distinctive clinicopathologic features. Cancer. 1980 Jul 15;46(2):372–9. 10.1002/1097-0142(19800715)46:2<372:aid-cncr2820460227>3.0.co;2-s

12. O’Neill AF, Church AJ, Perez-Atayde AR, Shaikh R, Marcus KJ, Vakili K. Fibrolamellar carcinoma: An entity all its own. Curr Probl Cancer. 2021 Aug;45(4):100770. 10.1016/j.currproblcancer.2021.100770

13. Honeyman JN, Simon EP, Robine N, et al. Detection of a recurrent DNAJB1–PRKACA chimeric transcript in fibrolamellar hepatocellular carcinoma. Science. 2014;343:1010–14. 10.1126/science.1249484

14. Vyas M, Hechtman JF, Zhang Y, et al. DNAJB1-PRKACA fusions occur in oncocytic pancreatic and biliary neoplasms and are not specific for fibrolamellar hepatocellular carcinoma. Mod Pathol. 2020;33:648–56. 10.1038/s41379-019-0398-2

15. Graham RP, Lackner C, Terracciano L, González-Cantú Y, Maleszewski JJ, Greipp PT, et al. Fibrolamellar carcinoma in the Carney complex: PRKAR1A loss instead of the classic DNAJB1-PRKACA fusion. Hepatology. 2018 Oct;68(4):1441–7. 10.1002/hep.29719

16. Kakar S, Chen X, Ho C, Burgart LJ, Sahai V, Dachrut S, et al. Chromosomal changes in fibrolamellar hepatocellular carcinoma detected by array comparative genomic hybridization. Mod Pathol. 2009 Jan;22(1):134–41. 10.1038/modpathol.2008.178

17. Lee JH, Choi MS, Gwak GY, et al. Clinicopathologic characteristics and long-term prognosis of scirrhous hepatocellular carcinoma. Dig Dis Sci. 2012;57:1698–707. 10.1007/s10620-012-2075-x

18. Kim YJ, Rhee H, Yoo JE, et al. Tumour epithelial and stromal characteristics of hepatocellular carcinomas with abundant fibrous stroma: Fibrolamellar versus scirrhous hepatocellular carcinoma. Histopathology. 2017;71:217–26. 10.1111/his.13219

19. Matsuura S, Aishima S, Taguchi K, et al. “Scirrhous” type hepatocellular carcinomas: A special reference to expression of cytokeratin 7 and hepatocyte paraffin 1. Histopathology. 2005;47:382–90. 10.1111/j.1365-2559.2005.02230.x

20. Limaiem F, Bouraoui S. Mixed fibrolamellar hepatocellular carcinoma. Clin Case Rep. 2021 Jun 24;9(6):e04318. 10.1002/ccr3.4318

21. Hirsch TZ, Negulescu A, Gupta B, Caruso S, Noblet B, Couchy G, et al. BAP1 mutations define a homogeneous subgroup of hepatocellular carcinoma with fibrolamellar-like features and activated PKA. J Hepatol. 2020 May;72(5):924–36. 10.1016/j.jhep.2019.12.006. Erratum In: J Hepatol. 2020 Jul;73(1):225–226.

22. Uka K, Aikata H, Takaki S, Shirakawa H, Jeong SC, Yamashina K, et al. Clinical feature and prognosis of patients with extrahepatic metastases from hepatocellular carcinoma. World J Gastroenterol. 2007;13:414–20. 10.3748/wjg.v13.i3.414

23. Liu S, Chan KW, Wang B, Qiao L. Fibrolamellar hepatocellular carcinoma. Am J Gastroenterol. 2009;104(10):2617–24. 10.1038/ajg.2009.440

24. Polychronidis G, Feng J, Murtha-Lemekhova A, Heger U, Mehrabi A, Hoffmann K. Factors influencing overall survival for patients with fibrolamellar hepatocellular carcinoma: Analysis of the surveillance, epidemiology, and end results database. Int J Gen Med. 2022 Jan 8;15:393–406. 10.2147/IJGM.S338066

25. Mroz RM, Korniluk M, Swidzinska E, Dzieciol J, Czaban J, Panek B, et al. Lung mass in a 28-year-old male: A case report of a rare tumor. Eur J Med Res. 2010 Nov 4;15(Suppl 2):95–7. 10.1186/2047-783x-15-s2-95