Download

Hepatic Disorders

A Case Presentation of Gastrointestinal Stromal Tumor of Duodenum

Aamir Ghazanfar1, Afifa Asghar1, Farrukh Zaman1, Hassan Mumtaz1*, Shahzeb Habib1, Shahzaib Ahmad2

1KRL Hospital, Islamabad, Pakistan;

2King Edward Medical University Lahore, Pakistan

Abstract

A gastrointestinal stromal tumor (GIST) is the most common mesenchymal tumor of the gastrointestinal tract. It is caused by the mutation in KIT and PDGFRα genes. It constitutes <1% of all gastrointestinal tumors. Duodenal GISTs constitute 4.5% of all GISTs. We report a 61-year-old lady, presented with generalized abdominal pain, vomiting, abdominal distension, and nausea for the last 3 years. Physical examination showed a pallor and on abdominal examination, a large palpable mass was extending from the pelvis to the right upper quadrant of the abdomen. The CT scan showed a large heterogeneously echogenic mass in the abdomen and pelvis with no lymphadenopathy and distant metastasis in this region. Laparotomy showed a large globular mass extending from the pelvis to the right upper quadrant of the abdomen adherent to the wall of a third part of the duodenum. Complete surgical resection of tumor done with an intact capsule. Microscopic examination showed neoplastic spindle cells with tumor necrosis. An immunohistochemical study confirmed GIST.

Key words: Cancer intervention, duodenum, tumor, surgery

Received: 30 May 2021; Accepted after Revision: 18 June 2021; Published: 28 June 2021

Author for correspondence: Hassan Mumtaz, House Physician, Critical Care Medicine, KRL Hospital, Islamabad. Email: hassanmumtaz.dr@gmail.com

How to cite: Ghazanfar A, et al. A Case Presentation of Gastrointestinal Stromal Tumor of Duodenum. J Ren Hepat Disord. 2021;5(1): 49–53.

Doi: http://dx.doi.org/10.15586/jrenhep.v5i1.112

Copyright: Ghazanfar A, et al.

License: This open access article is licensed under Creative Commons Attribution 4.0 International (CC BY 4.0). http://creativecommons.org/licenses/by/4.0

Introduction

Gastrointestinal stromal tumors (GISTs) are the most common mesenchymal tumors of the gastrointestinal tract (1,2). They constitute <1% of all gastrointestinal tract malignancies (3). Duodenal GISTs constitute 4.5% of all GISTs (4). GIST of the duodenum is rare than other parts of the small intestine. Around 3300 to 6000 new cases of GISTs are reported per year in the United States (5). Surveillance, Epidemiology and End Result (SEER) data estimated six to eight cases of GISTs per million of the population from 1992 to 2000 (6). In the past, GISTs and leiomyosarcoma were considered as the same entity but now it is revealed that GISTs are CD34 immunoreactive and express tyrosine kinase c-KIT CD117 receptor activity (7).

Case presentation

A 61-year-old diabetic lady, presented with generalized abdominal pain, which was gradual in onset, moderate to severe in intensity, associated with nausea, vomiting, and abdominal distention. There were no symptoms of diarrhea, constipation, anorexia, weight loss, jaundice, hematemesis, melena, and per rectal bleed. There was no family history of malignancy. The patient was in a usual state of health 3 years ago when she had complained of pain in the right upper quadrant which was moderate to severe in intensity, non-radiating, with no aggravating or relieving factors, associated with high-grade fever with rigors and chills. The patient had visited multiple hospitals where she was treated conservatively.

The patient had no compliance with that treatment. General physical examination showed pallor with no other remarkable finding. The cardiopulmonary examination was unremarkable. Abdominal examination revealed a large, non-tender palpable mass extending from the pelvis to the right upper quadrant.

Complete blood picture showed normocytic and normochromic anemia with Hb concentration of 10.3 g/dL (812), HCT 31.5% (40–50), MCV 87 fL (82–98), MCH 28.5 pg (27–31), MCHC 32.7 g/dL (32–36) with total RBC count 3.62 millions/mL (4.5–6), TLC count of 16160/mm3, and adequate platelet count. RBC morphology showed microcytosis, anisocytosis, and hypochromia. ESR of 67 mm/1st hour (0–20).

Other tests like liver function tests, renal function tests, serum amylase, coagulation profile, urine routine examination, TSH, CA-125, β-HCG, and alpha-fetoprotein were found normal.

Abdominal ultrasound showed a significant increase in the size of the mass on the right side of the abdomen as compared to the previous report. CT scan of abdomen and pelvis showed a large (18×10×5 cm) heterogeneously enhancing mass in abdomen and pelvis with fairly well-defined margins, displacing abdominal and pelvic viscera.

Inferiorly it was inseparable from right adnexal structures and closely abutting the dome of the urinary bladder. Fat planes between this mass lesion and gastric pylorus and the first part of the duodenum were indistinct. There were no ascites, lymphadenopathy, lung base or abdominopelvic visceral and bony metastasis.

Laparotomy with midline incision showed a large globular, irregular, encapsulated mass measuring 20 × 18 ×10.5 cm extending from the pelvis to the right upper quadrant of the abdomen and attached to the wall of a third part of the duodenum. Mass was not adherent to adnexa and multiple areas of cystic hemorrhagic foci were visible on its surface. No local invasion, lymphadenopathy, or distant metastasis were seen in this region as shown in Figure 1. Complete surgical resection of the tumor with intact capsule is done as shown in Figure 2.

Figure 1: Grossly large gastrointestinal stromal tumor with irregular borders and encapsulated.

Figure 2: GIST exhibits a solid, sometimes cystic fleshy tumor with multiple hemorrhagic foci.

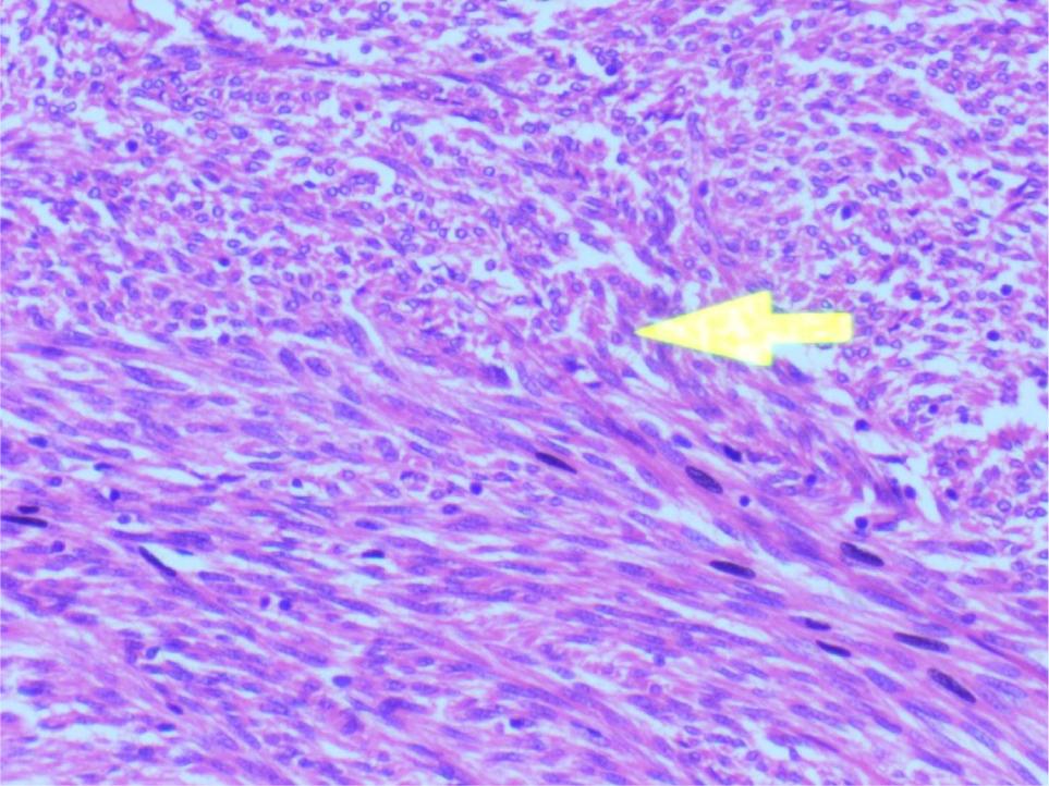
The patient remained hospitalized for 5 days and was discharged 2 days after the surgery. A cut section of the specimen showed tan, white, fragile mass containing hemorrhagic foci. Microscopic examination of sections revealed a lesion composed of haphazardly arranged fascicles and sheets of spindle cells as shown in Figure 3.

Figure 3: Spindle cells showing interlacing pattern. The individual cells have abundant cytoplasm and elongated nuclei with coarse chromatin.

The individual cells have abundant cytoplasm and elongated nuclei with coarse chromatin. Scattered within the lesion are areas of necrosis as shown in Figure 4.

Figure 4: Scattered within the lesion are areas of tumor necrosis seen.

Immunohistochemical staining performed which showed the following pattern in neoplastic cells:

Marker Outcome
ASMA Negative
Desmin Negative
S-100 Negative
CD 117 Positive
Vimentin Positive

Diagnosis: Gastrointestinal stromal tumor of the duodenum.

CT scan of abdomen and pelvis with contrast is advised trimonthly for 1 year, 6 monthly for 5 years, and then yearly.

Discussion

Gastrointestinal stromal tumors are mesenchymal tumors of the gastrointestinal tract (1). They are located in the submucosa of the gastrointestinal tract (2). Differentials of GIST are leiomyosarcoma of the intestine, dermoid cyst, mesenteric cyst, retroperitoneal mass, or exophytic mass from gastrointestinal origin. GISTs are <1% of all gastrointestinal malignancies (3). Duodenal GISTs constitute 4.5% of all GISTs (4). It was first found that GISTs originate from the interstitial cell of Cajal which are located in the myenteric and submucosal plexus of the gastrointestinal tract but it is now attributed to multipotential mesenchymal stem cell (19).

In the past, GISTs, leiomyoma, and leiomyosarcoma were considered as the same entity because GISTs also possessed smooth muscle features under light microscopy but now with the advancement in diagnostic modalities, it is revealed that GISTs are CD 34 immunoreactive and express tyrosine kinase c-KIT (CD 117) receptor activity (7).

The cause of GISTs is mutation in either KIT or PDGFR-α (Platelet-derived growth factor receptor α) gene (911). The annual incidence of GISTs is 10–20 per million per year with a 20%–30% possibility of malignancy. GISTs are more common above the age of 50 years with a median age range of 55–65 years. Some of the studies show same gender distribution but most of the studies show male predominance (20).

The commonest site of occurrence of GISTs is the stomach (50%–60%). Other sites are the small intestine (30%–40%), duodenum (4.5%), and 5% in the colon, rectum, and esophagus. Other rare sites are mesentery and omentum (9).

Seventy percent of patients with GISTs are symptomatic, 20% remain asymptomatic, and 10% are detected at autopsy. Fifty percent of patients with GIST have already been metastasized at the time of diagnosis. Microscopically, GISTs of the small intestine are more often spindled than epithelioid and are eosinophilic, composed of collagen with Periodic Acid Schiff stain positive (10).

One of the studies on the clinical analysis of primary small intestinal diseases shows the major clinical symptoms include abdominal pain (71%), abdominal mass (14%), vomiting (10%), melena (10%), and fever (10%) (11). GISTs metastasize homogeneously. Lymph node metastasis is very rare (12). The size of GISTs varies from few millimeters to more than 30 cm. Macroscopically, GISTs mostly present as an exophytic mass that is attached to the gastrointestinal tract (stomach or small intestine) in the abdominal cavity and displacing other organs (14).

Diagnostic modalities include Barium examination of the gastrointestinal tract, CT scan, and EUS guided FNAC which has 80%–85% accuracy but with considerable risk of tumor rupture and dissemination (15).

Tumor size >5 cm with extraluminal growth, irregular borders, and heterogeneous have malignant potential. Immunohistochemistry is a very important investigation that differentiates GISTs from leiomyosarcoma as GISTs are CD 117 positive in 80%–85% of cases (16).

The most important predictor of malignancy is size and mitotic rate. Tumor with size ≤2 cm and ≤5 mitosis per 50 high power field (HPF), shows low risk and good prognosis. Tumor having a size range ≥5 cm with ≥5 mitosis per 50 HPF shows high risk. Tumors of the small intestine with size >5cm are considered aggressive regardless of mitotic index. The median survival of the patient with fully resected tumor patient is 66 months and for locally advanced and metastatic tumor median, survival is 9–20 months. Two years survival after imatinib mesylate therapy is 70– 50% (17).

The most effective treatment is surgical resection with avoidance of tumor rupture because it is associated with an increased risk of peritoneal implantation. GISTs are resistant to standard chemotherapy. Imatinib mesylate is used in advanced and metastatic GISTs but the use of adjuvant imatinib therapy after complete resection of the tumor is under evaluation (18).

Stromal tumors have highly variable growth features which include tumors with intra or transmural, intraluminal, and pedunculated appearances. Clinical presentation depends on size, growth pattern as well as on the site of the tumor. Stromal tumor in the stomach has the lowest rate of acute and emergency symptoms with 31%, whereas the duodenum has 42%, followed by small bowel having acute symptoms of more than 50% (21). The intestinal tumors are found to be of high grade (70%) and high-risk prognostic group (75% and 80%) as compared to stomach GISTs (43% of highrisk prognostic group) (22).

The majority of GISTs recur in 3–5 years period. According to National Comprehensive Cancer Network Guidelines, a CT scan of the abdomen and pelvis with contrast is recommended 3–6 monthly for 3–5 years and then yearly (23).

Conclusions

Gastrointestinal stromal tumors can be resected surgically with its capsule being intact in order to avoid peritoneal implantations. Imatinib mesylate therapy is used for locally advanced and metastatic tumor. The prognosis of high-risk GIST is better than small intestine GIST. The recurrence rate is high, so regular follow-up is necessary.

Conflicts of Interest

The authors declare no competing interests.

REFERENCES

1. Blay JY, Serrano C, Heinrich MC, et al. Ripretinib in patients with advanced gastrointestinal stromal tumours (INVICTUS): A double-blind, randomised, placebo-controlled, phase 3 trial. Lancet Oncol. 2020;21(7):923–34. 10.1016/S1470-2045(20)30168-6

2. Akahoshi K, Oya M, Koga T, et al. Current clinical management of gastrointestinal stromal tumor. World J Gastroenterol. 2018;24(26):2806–17. PMid: 30018476; PMCID: PMC6048423. 10.3748/wjg.v24.i26.2806

3. Theiss L, Contreras CM. Gastrointestinal stromal tumors of the stomach and esophagus. Surg Clin North Am. 2019;99(3):543–53. PMid: 31047041. 10.1016/j.suc.2019.02.012

4. Ibrahim A, Chopra S. Succinate dehydrogenase-deficient gastrointestinal stromal tumors. Arch Pathol Lab Med. 2020;144(5):655–60. Epub 2019 Jun 6. PMid: 31169996. 10.5858/arpa.2018-0370-RS

5. Al-Share B, Alloghbi A, Al Hallak MN, et al. Gastrointestinal stromal tumor: A review of current and emerging therapies. Cancer Metastasis Rev. 2021 Apr 19. Epub ahead of print. PMid: 33876372. 10.1007/s10555-021-09961-7

6. Coe TM, Fero KE, Fanta PT, et al. Population-based epidemiology and mortality of small malignant gastrointestinal stromal tumors in the USA. J Gastrointest Surg. 2016;20(6):1132–40. Epub 2016 Mar 29. PMid: 27025710; PMCID: PMC4880518. 10.1007/s11605-016-3134-y

7. Kohno S, Aoki H, Ogawa M, et al. Significance of primary malignant tumors on the outcome of patients with resected gastrointestinal stromal tumors. In Vivo. 2020;34(3):1201–5. PMid: 32354910; PMCID: PMC7279818. 10.21873/invivo.11893

8. Milanetto AC, Pacciani S, Fassan M, et al. Pancreatic neuroendocrine neoplasms and gastrointestinal stromal tumors: A single-institution experience of a rare association and review of the literature. Pancreas. 2020;49(7):918–23. PMid: 32658075. 10.1097/MPA.0000000000001599

9. Daumová M, Vanˇková B, Švajdler, M et al. Immunohistochemistry and molecular genetics in the differential diagnostics of mesenchymal lesions of gastrointestinal tract. Cesk Patol. 2020;56(4):212–20. PMid: 33736442.

10. El-Menyar A, Mekkodathil A, Al-Thani H. Diagnosis and management of gastrointestinal stromal tumors: An up-to-date literature review. J Cancer Res Ther. 2017;13(6):889–900. 10.4103/0973-1482.177499. PMid: 29237949.

11. Weerts ZZRM, Masclee AAM, Witteman BJM, et al. Efficacy and safety of peppermint oil in a randomized, double-blind trial of patients with irritable bowel syndrome. Gastroenterology. 2020;158(1):123–36. Epub 2019 Aug 27. PMid: 31470006. 10.1053/j.gastro.2019.08.026

12. Søreide K. Cancer biology of small gastrointestinal stromal tumors (<2 cm): What is the risk of malignancy? Eur J Surg Oncol. 2017;43(7):1344–9. Epub 2017 Feb 9. PMid: 28222971. 10.1016/j.ejso.2017.01.240

13. Tryggvason G, Hilmarsdottir B, Gunnarsson GH, et al. Tyrosine kinase mutations in gastrointestinal stromal tumors in a nation-wide study in Iceland. APMIS. 2010;118(9):648–56. PMid: 20718716. 10.1111/j.1600-0463.2010.02643.x

14. Zhang JQ, Zeng S, Vitiello GA, et al. Macrophages and CD8+ T cells mediate the antitumor efficacy of combined CD40 ligation and imatinib therapy in gastrointestinal stromal tumors. Cancer Immunol Res. 2018;6(4):434–47. Epub 2018 Feb 21. PMid: 29467128; PMCID: PMC6203303. 10.1158/2326-6066.CIR-17-0345

15. Trindade AJ, Benias PC, Alshelleh M, et al. Fine-needle biopsy is superior to fine-needle aspiration of suspected gastrointestinal stromal tumors: a large multicenter study. Endosc Int Open. 2019;7(7):E931–6. Epub 2019 Jul 11. PMid: 31304239; PMCID: PMC6624113. 10.1055/a-0953-1640

16. Hansen T, Titze U, Trachte F, et al. [Uncommon tumor of the gastric wall]. Pathologe. 2020 Dec 23. German. Epub ahead of print. PMid: 33355706. 10.1007/s00292-020-00886-6

17. Kanda T, Masuzawa T, Hirai T, et al. Surgery and imatinib therapy for liver oligometastasis of GIST: A study of Japanese Study Group on GIST. Jpn J Clin Oncol. 2017;47(4):369–72. PMid: 28073945. 10.1093/jjco/hyw203

18. Nagami Y, Ominami M, Otani K, et al. Endoscopic submucosal dissection for adenocarcinomas of the esophagogastric junction. Digestion. 2018;97(1):38–44. Epub 2018 Feb 1. PMid: 29393168. 10.1159/000484111

19. Mantese G. Gastrointestinal stromal tumor: Epidemiology, diagnosis, and treatment. Curr Opin Gastroenterol. 2019;35(6):555–59. PMid: 31577561. 10.1097/MOG.0000000000000584

20. Park J, Yoo HM, Sul HJ, et al. Genetic characterization of molecular targets in Korean patients with gastrointestinal stromal tumors. J Gastric Cancer. 2020;20(1):29–40. Epub 2019 Dec 27. PMid: 32269842; PMCID: PMC7105413. 10.5230/jgc.2020.20.e2

21. Menge F, Jakob J, Kasper B, et al. P. Clinical presentation of gastrointestinal stromal tumors. Visc Med. 2018;34(5):335–40. Epub 2018 Oct 13. PMid: 30498699; PMCID: PMC6257088. 10.1159/000494303

22. Hashmi AA, Faraz M, Nauman Z, et al. Clinicopathologic features and prognostic grouping of gastrointestinal stromal tumors (GISTs) in Pakistani patients: An institutional perspective. BMC Res Notes. 2018;11(1):457. PMid: 29996918; PMCID: PMC6042430. 10.1186/s13104-018-3562-8

23. Gronchi A, Bonvalot S, Poveda Velasco A, et al. Quality of surgery and outcome in localized gastrointestinal stromal tumors treated within an international intergroup randomized clinical trial of adjuvant imatinib. JAMA Surg. 2020;155(6):e200397. Epub 2020 Jun 17. PMid: 32236507; PMCID: PMC7113837. 10.1001/jamasurg.2020.0397