Download

ORIGINAL ARTICLE

Histopathological Spectrum of Nephrectomies; a Single Centre Experience of over 14 Years

Farhat Abbas1, Gul Aalmeen1, Muzamil Latief2, Shahid Wani3, Mohsin Wani1, Summyia Farooq1*

1Pathology Division, Government Medical College, Srinagar, Kashmir, India;

2Nephrology Division, Government Medical College, Srinagar, Kashmir, India;

3Paediatric Division Government Medical College, Anantnag, Kashmir, India

Abstract

Nephrectomy is conducted either as an open or a laparoscopic procedure for a variety of clinical indications. These include both neoplastic and non-neoplastic conditions, such as the non-functioning kidney. In many patients the final diagnosis is established on the histopathology of the retrieved kidney. In this study, retrospective analysis of data of last 14 years was studied pertaining to the number and indications of nephrectomy at the present study centre. Demographic and clinical details were assessed. Gross and microscopic histopathological details were recorded. Diagnosis was established on the basis of clinical features and histopathology. A total of 638 total nephrectomy specimens were received. Of these, 280 cases were of neoplastic and 358 of non-neoplastic lesions, with a male-to-female ratio of 1.21:1. The age range varied widely according to clinical manifestations. The age range in the present study was 5–84 years. Patients operated for non-neoplastic disorders were younger (mean age: 38.1 years) than those operated for neoplastic disorders (mean age: 54.4 years). Clear renal cell carcinoma (RCC) was the commonest RCC type (150 patients) followed by papillary RCC (51 cases). Nephrectomy is done due to both benign and malignant clinical indications as observed in this study. The most common indication was chronic pyelonephritis with the non-functioning kidney.

Key words: Nephrectomy, Pyelonephritis, RCC

Received: 6 December 2021. Accepted after Revision: 10 February 2022. Published: 13 April 2022

Author for correspondence: Summiya Farooq, Pathology Division, Government Medical College, Srinagar, Kashmir, India. Email: summiyafarooq@gmail.com

How to cite: Abbas F, et al. Histopathological Spectrum of Nephrectomies; a Single Centre Experience of over 14 Years. J Ren Hepat Disord. 2022 6(1):36–40.

Doi: http://dx.doi.org/10.15586/jrenhep.v6i1.138

Copyright: Abbas F, et al.

License: This open access article is licensed under Creative Commons Attribution 4.0 International (CC BY 4.0). http://creativecommons.org/licenses/by/4.0

Introduction

Nephrectomy is conducted either as an open or a laparoscopic procedure for a variety of clinical indications. These include both neoplastic and non-neoplastic conditions such as the non-functioning kidneys due to severe hydronephrosis, pyonephrosis, polycystic kidneys, xanthogranulomatous pyelonephritis (XGP) etc. Although nephron sparing surgeries have become common, still a large number of conditions require radical nephrectomy (14). Suspected mass lesions on imaging and the non-functioning kidneys using scintigraphy more so in patients with chronic pyelonephritis and its variants with or without nephrolithiasis require nephrectomy. In many of these patients the final diagnosis is established on the histopathology of the retrieved kidney. Indications for nephrectomy also vary with age as does nature of the disease being either benign, infectious or malignant (57). Intraoperative and post-operative complications following nephrectomy are also studied (7). The impact of nephrectomy on renal functions in the long run varies and largely depends on the indications of the procedure and underlying comorbidities (810).

Materials and Methods

In this study, retrospective analysis of data of last 14 years was made to look at the number and indications of nephrectomy at the present study centre. Demographic and clinical details were assessed. Gross and microscopic histopathological details were recorded. Grossing was done according to institutional protocol using formalin fixation of specimens. Paraffin-processed 3-μm-thick specimens were sectioned and stained with haematoxylin and eosin (H&E). Diagnosis was established on the basis of clinical features and histopathology. Special stains and immunohistochemistry were employed on case by case basis. Specimens were classified as benign, infectious, malignant or of other pathology. Histological typing of all neoplasms was performed according to the WHO classification and their histological prognostic factors.

Results

A total of 638 total nephrectomy specimens were received. Of these, 280 patients had neoplastic and 358 non-neoplastic lesions, with a male-to-female ratio of 1.21:1. The age range varied widely according to type of the disease.

The age range in the present study was 5–84 years. Patients operated for non-neoplastic disorders were younger (mean age: 38.1 years) than those operated for neoplastic disorders (mean age: 54.4 years). Non-neoplastic lesions constituted 358 cases, with chronic pyelonephritis being the commonest indication of nephrectomy in 318 (88.8%) patients. All these kidneys were enlarged and most had coarse depressed scars. The pelvicalyceal system was dilated and distorted. The microscopy indicated varying degrees of glomerular atrophy and hyalinization, periglomerular fibrosis, tubular atrophy and hyalinization along with interstitial inflammation, fibrosis and thickened blood vessels.

Xanthogranulomatous pyelonephritis was seen in 30 patients; it was diagnosed on the basis of the findings that included yellowish nodular gross foci, and microscopic examination revealed sheets of foamy microphages along with acute and chronic inflammatory cells. There was an associated history of diabetes in all the patients with XGP and females were more commonly affected. Three of the patients in the present study had hydatid kidney disease.

Neoplastic lesions constituted 280 patients. Clear renal cell carcinoma (RCC) was the commonest (150 cases) followed by papillary RCC (51 cases), chromophobe (13 cases), collecting duct (7 cases), sarcomatoid (10 cases), medullary (3 cases), leiomyosarcoma (4 cases) and deposits of squamous cell carcinoma (SCC; 2 cases). Benign tumours included in the study were oncocytoma (15 cases) and angiomyolipoma (10 cases). There were 15 cases of Wilms tumour. Considering age, distribution of RCC was wide from 11–80 years with a definite peak in 5th decade (40–49 years).

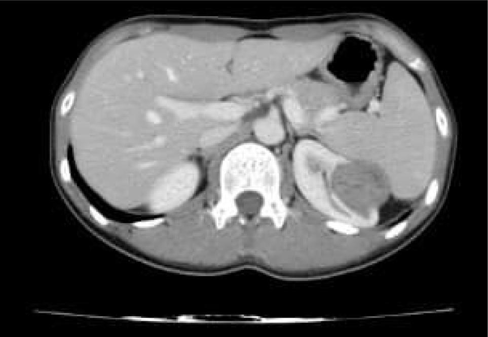
Nephroblastoma was diagnosed in first and second decade of life. Neoplasms were common on the left side (51.07%) as compared to the right side (48.92%). The tumour size ranged from 2 to 20 cm. The clear cell renal carcinoma was graded from 1 to 4 according to Fuhrman’s nuclear grading system. Nuclear Grade 2 was the most common (53.3%) features, followed by nuclear Grade 3 (23.33%) . Capsular invasion was seen in eight, vascular invasion in five, adrenal invasion in one and renal sinus invasion in 10 cases. Figures 14 show gross nephrectomy specimens. Figure 5 shows computed tomography (CT) images of RCC, and Figures 6 and 7 show the microscopic appearance of nephrectomy specimens.

Figure 1: Gross specimen of Renal Cell Carcinoma.

Figure 2: Gross Specimen of Wilms Tumour.

Figure 3: Gross specimen of sarcomatoid Renal Cell Carcinoma.

Figure 4: Hydatid Kidney.

Figure 5: CT image of Renal cell carcinoma.

Figure 6: Microscopic picture of Wilm’s tumour showing blastemal and mesenchymal components.

Figure 7: Microscopic picture showing clear cells and increase vascularity in Clear Cell RCC.

Discussion

Nephrectomy is a standard treatment for patients presenting with benign and malignant mass lesions in the kidney. The present study had a total of 638 nephrectomy specimens, out of which 280 were benign lesions and 358 were neoplastic. However, in a study conducted by Aiman et al. involving 140 nephrectomy specimens, 77.2% were benign lesions and 22.8% were malignant lesions (11).

In another study conducted by Rafique, benign lesions were 76.6% and malignant were 23.4% (3). The present study had 350 females and 288 males, with a male-to-female ratio of 1:1.21. This ratio was similar to the male-to-female ratio of 1:1.05 observed by Rafique (3).

Most of the patients in the current study presented with pain in the abdomen followed by haematuria. Similar results were observed in a study conducted by Aiman et al., in which most of the patients (92) presented with pain in the abdomen (11). This was followed by haematuria (30 patients), fever (25 patients) and lump in the abdomen (22 patients). In the present study, the majority of patients who presented with haematuria had malignant lesions. These observations were comparable to those determined in the studies conducted by El Malik et al. (12) and Popat et al. (13). In adults, the most common malignant tumour is RCC, while Wilms tumour is common in children.

Table 1: Comparison of the present study with other studies.

  Ghalayini et al. (15) Aiman A et al. (11) Rafique (3) Present study
N 423 140 154 638
Male-to-female ratio 1.29:1 0.94:1 1:1.05 1.21:1
Chronic pyelonephritis 117 (27.6%) 88 (62.8%) 43 (27%) 318 (49.8%)
Renal cell carcinoma (RCC) 91 (14%) 25 (17.8%) 36 (23.3%) 216 (35.10%)
Xanthogranulomatous pyelonephritis (XGP) 13 (2.96%) 8 (5.7%) 2 (1.29%) 30 (4.70%)
Pyonephrosis 17 (4.01%) 5 (3.5%) 17 (11.03%)  
Wilms tumour 21 (4.96%) 5 (3.5%)   15 (2.35%)
Trauma 12 (2.8%) 4 (2.8%)   10 (1.56%)
Cystic disease   2 (1.4%)    
Squamous cell carcinoma (SCC)   1 (0.7%)   2 (0.31%)
Angiomyolipoma   1(0.7%)   10(1.56%)
Renal sarcoma   1 (0.7%)   10 (1.56%)
UV junction abnormality 18 (4.25%)   19 (12.35%)  
Renal tuberculosis 9 (2.1%)   9 (5.84%) 5 (0.78%)
Hydatid 4 (0.94%)     3 (0.47%)
Emphysematous pyelonephritis 1 (0.23%)      
Iatrogenic     3 (1.9%)  
Oncocytoma       15 (2.35%)
Leiomyosarcoma       4 (0.62%)
Urothelial tumour 6 (1.41%)      
Other malignancies 7 (1.65%)      

In the present study, RCC was the commonest malignant lesion (224 cases) similar to the observations made by Aiman et al. (11) and Rafique et al. (3). Among infectious causes chronic pyelonephritis was the commonest cause examined in 318 patients. Chronic pyelonephritis has been reported as the most common clinical indication in the studies conducted by El Malik et al. (12), Popat et al. (13) and Adamson et al. (14).

The present study had 30 (4.7%) patients of XGP. However, in a study conducted by Aiman et al., 8 (5.7%) patients of XGP were discovered (11), whereas Popat et al. stated just 2 patients (2.5%) of XGP (13). In another observation, the present study had 126 (19.7%) patients of concomitant nephrolithiasis whereas it was discovered in 73 (17.2%) patients in a study conducted by Ghalayini et al. (15).

The present study had 150 patients of clear RCC, which was the commonest malignant lesion among adults, followed by papillary RCC (51 patients). Chromophobe RCC was observed in 13 patients, collecting duct RCC in 7, sarcomatoid in 10, medullary RCC in 3, leiomyosarcoma in 4 and deposits of SCC in (2 patients. This was similar to results of the study conducted by Aiman A et al(11), where the clear cell type of renal carcinoma was the predominant tumour observed microscopically in 20 (80%) patients.

In the present study, Fuhrman nuclear grading system was used and it was observed that Grade 2 nuclear features were most common (53.3%), followed by nuclear grade 3 in 23.33% cases. In a study conducted by Aiman et al., Fuhrman grading revealed 13 (52%) patients with Grade 2 nuclear features, and 6 (24%) having Grade 3 nuclear features (11). Thus, the majority of patients (76%) demonstrated Grades 2 and 3 nuclear features. This was similar to the findings of Popat et al. (13), who observed that all cases of conventional RCC demonstrated Grades 2 and 3 nuclear features.

Conclusion

Nephrectomy is conducted due to both benign and malignant indications as observed in the present study. The most common indication was chronic pyelonephritis with the non-functioning kidney.

Conflict of interest

The authors declared no potential conflicts of interest with respect to research, authorship and/or publication of this study.

REFERENCES

1. Kundu R, Baliyan A, Dhingra H, Bhalla V, Punia RS. Clinicopathological spectrum of xanthogranulomatous pyelonephritis. Indian J Nephrol. 2019 Mar–Apr;29(2):111–5. 10.10.4103/ijn.IJN_50_18. PMid: 30983751; PMCID: PMC6440323.

2. Eble JN, Sauter G, Epstein J, Sesterhenn I. (Eds.) World Health Organization classification of tumours, vol. 7: Pathology and genetics of tumours of urinary system and male genital organ, 3rd ed. Geneva, Switzerland: WHO; 2004; 87 p. ISBN-13-978-92-832-2415-0.

3. Rafique M. Nephrectomy: Indications, complications and mortality in 154 consecutive patients. J Pak Med Assoc. 2007 Jun;57(6):308–11. PMid: 17629234.

4. Joniau S, Vander Eeckt K, Van Poppel H. The indications for partial nephrectomy in the treatment of renal cell carcinoma. Nat Clin Pract Urol. 2006 Apr;3(4):198–205. 10.10.1038/ncpuro0458. PMid: 16607368.

5. Ezomike UO, Modekwe VI, Ekenze SO. Paediatric nephrectomy: Patterns, indications and outcome in a developing country. Malawi Med J. 2018 Jun;30(2):94–8. 10.10.4314/mmj.v30i2.8. PMid: 30627336; PMCID: PMC6307073.

6. Daradka I. Indications for nephrectomy in children: A report on 119 cases. Saudi J Kidney Dis Transpl. 2012 Nov;23(6):1221–6. 10.10.4103/1319-2442.103563. PMid: 23168852.

7. Beisland C, Medby PC, Sander S, Beisland HO. Nephrectomy—Indications, complications and postoperative mortality in 646 consecutive patients. Eur Urol. 2000 Jan;37(1):58–64. 10.10.1159/000020101. PMid: 10671787.

8. Chapman D, Moore R, Klarenbach S, Braam B. Residual renal function after partial or radical nephrectomy for renal cell carcinoma. Can Urol Assoc J. 2010 Oct;4(5):337–43. 10.10.5489/cuaj.909. PMid: 20944808; PMCID: PMC2950769.

9. Bréhier G, Bouvier A, Besnier L Willoteaux S, Nedelcu C, Culty T, et al. Renal function after partial nephrectomy following intra-arterial embolization of renal tumors. Sci Rep. 2020 Dec;10(1):21352. 10.1038/s41598-020-78461-5

10. Lam NN, Lloyd A, Lentine KL, Quinn RR, Ravani P, Hemmelgarn BR, et al. Changes in kidney function follow living donor nephrectomy. Kidney Int. 2020 Jul;98(1):176–86. 10.10.1016/j.kint.2020.03.034. Epub 2020 May 1. PMid: 32571482.

11. Aiman A, Singh K, Yasir M. Histopathological spectrum of lesions in nephrectomy specimens: A five-year experience in a tertiary care hospital. J Sci Soc. 2013;40(3):148–54. 10.4103/0974-5009.120058

12. El Malik EM, Memon SR, Ibrahim AL, Al Gizawi A, Ghali AM. Nephrectomy in Adults: Asir hospital experience. Saudi J Kidney Dis Transpl. 1997;8(4):423–7. Available from: https://www.sjkdt.org/text.asp?1997/8/4/423/39342

13. Popat VC, Kumar MP, Udani D, Mundra MP, Vora DN, Porecha MM. A study on culprit factors ultimately demanding nephrectomy. Internet J Urol. 2010;7(1):1–8.

14. Adamson AS, Nadjmaldin AS, Atwell JD. Total nephrectomy in children: A clinicopathological review. Br J Urol. 1992 Nov;70(5):550–3. PMid: 1467864.

15. Ghalayini IF. Pathological spectrum of nephrectomies in a general hospital. Asian J Surg. 2002 Apr;25(2):163–9. 10.10.1016/S1015-9584(09)60167-6. PMid: 12376239.