Download

CASE REPORT

Xanthogranulomatous Pyelonephritis: A Rare Presentation

Kafil Akhtar1, Mahboob Hasan1, Kiran Alam1, Mohd Talha1, Atia Z Rab2

1Department of Pathology, Jawaharlal Nehru Medical College, Aligarh Muslim University, Aligarh, UP, India; 2Department of Surgery, Jawaharlal Nehru Medical College, Aligarh Muslim University, Aligarh, UP, India

Abstract

Xanthogranulomatous pyelonephritis is an uncommon chronic destructive disease process of renal parenchyma, associated with recurrent urinary tract infection. It is seen predominantly in females with no age specificity. The most common symptoms are flank or abdominal pain, fever, palpable mass, and gross hematuria. The common laboratory findings are leukocytosis and anemia. Urine cultures most often reveal Escherichia coli and Proteus mirabilis. Computed tomography is the mainstay of diagnostic imaging for xanthogranulomatous pyelonephritis. Histologically, xanthogranulomatous pyelonephritis presents a granulomatous inflammatory infiltrate mainly composed of lymphocytes, plasma cells, foamy histiocytes, and multinucleated giant cells. The differential diagnosis includes clear cell renal cell carcinoma, sarcomatoid renal cell carcinoma, leiomyosarcoma, malakoplakia, tuberculosis, and interstitial nephritis. Treatment includes antibiotics and surgery. In this article, we report a case of xanthogranulomatous pyelonephritis in a 38-year-old male patient with recurrent urinary tract infection.

Keywords: differential diagnosis; interstitial nephritis; leiomyosarcoma; lipid-ladden foamy macrophages; malakoplakia; recurrent Urinary tract infection; Xanthogranulomatous pyelonephritis

Received: 25 May 2015; Accepted after revision: 20 August 2017; Published: 29 September 2017.

Author for correspondence: Kafil Akhtar, Department of Pathology, Jawaharlal Nehru Medical College, Aligarh Muslim University, Aligarh, UP, India. Email: drkafilakhtar@gmail.com

How to cite: Akhtar K et al. Xanthogranulomatous pyelonephritis: A rare presentation, J Ren Hepat Disord 2017;1(2):52–56.

DOI: http://dx.doi.org/10.15586/jrenhep.2017.19

Copyright: Akhtar K et al.

License: This open access article is licensed under Creative Commons Attribution 4.0 International (CC BY 4.0). http://creativecommons.org/licenses/by/4.0

 

Introduction

Xanthogranulomatous pyelonephritis (XGP) is a chronic destructive granulomatous inflammation of renal parenchyma, first described by Schlagenhaufer in 1916 (1, 2). There are three recognized patterns of the disease: diffuse, segmental, and focal. Segmental XGP is characterized by segmental involvement, focal disease is mainly cortical, while diffuse XGP largely involves the renal parenchyma (3). XGP is an uncommon entity, accounting for about 0.6% of histologically documented cases of chronic pyelonephritis (4, 5).

The mean age of occurrence of XGP is 45.2 years, with age range of 2–84 years (2, 4). Women are affected more frequently than men, with male to female ratio of 3:7 (2, 4). XGP is characterized by an infectious phlegmon arising in the renal parenchyma, in immunocompromised person with associated urinary tract infection and/or urolithiasis. The clinical presentation is nonspecific, which leads to difficulty in diagnosis with other kidney diseases. Computed tomography (CT) is a reliable and accurate imaging modality in characterizing its extrarenal involvement, thereby leading to its diagnosis. The treatment is surgical and consists of nephrectomy. We report a case of XGP in a 38-year-old male patient with recurrent urinary tract infection.

Case Summary

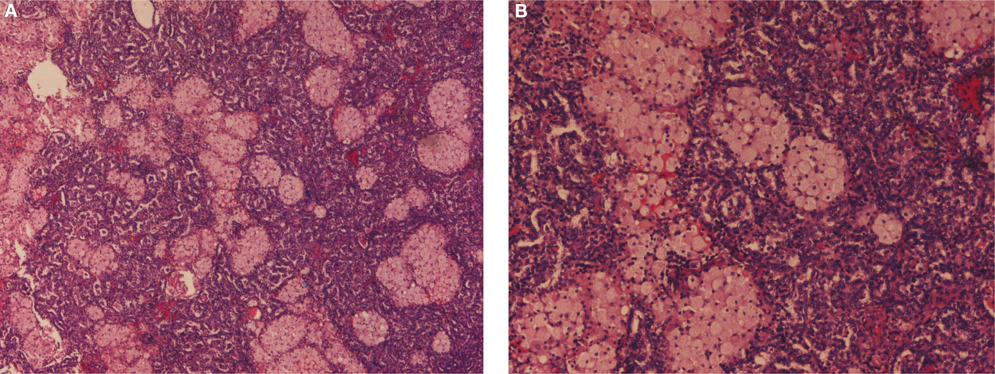
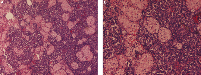
A 38-year-old male patient presented to the surgical clinic with history of high-grade fever associated with chills and acute severe pain in the left flank for 2 days. Medical history of the patient revealed repeated urinary infection, which was cured by antibiotics. Clinical examination revealed a febrile thin-built male, with extreme tenderness over the left renal angle with generalized muscle guarding. The hematologic evaluation showed leukocytosis, with white blood cell count 12,300/ml and mean hemoglobin 10.2 g/dl. Urinalysis revealed pyuria, with Escherichia coli and Klebsiella spp in urine culture. Erythrocyte sedimentation rate was raised to 34 mm in the first hour, total albumin of 2.7 g/dl and high fasting blood sugar of 128 mg/dl. Ultrasonography of the abdomen revealed a large predominantly hypoechoic mass lesion measuring 10 cm × 8 cm in the left renal fossa with normal right kidney. No renal calculus was seen on either side. Contrast enhanced CT scan revealed an enlarged heterogeneous left kidney of size 12 cm × 7 cm. There was no extrarenal extension of the disease process. Based on the clinical features and radiographic findings, a provisional diagnosis of XGP of the left kidney was made. The patient was given parenteral antibiotics followed by nephrectomy. Grossly, the specimen revealed a large firm yellow mass with multiple foci of necrosis and hemorrhage, superficially resembling a renal cell carcinoma (RCC) (Figure 1). Histopathology showed focal areas of lipid-laden “foamy” macrophages accompanied by neutrophils, lymphocytes, and plasma cells (Figure 2A and 2B), based on which a final diagnosis of XGP was made. The patient had an uneventful postoperative recovery.



Fig 1

Figure 1. Gross specimen of kidney revealing a large firm yellow mass with multiple foci of necrosis.



Fig 2

Figure 2. (A) Histopathology showing focal areas of lipid-laden “foamy” macrophages accompanied by neutrophils, lymphocytes, and plasma cells (hematoxylin and eosin, 100x). (B) High power of Figure A (400x).

Discussion

XGP is a serious, chronic inflammation of the renal parenchyma associated with indolent bacterial infection. The disease process begins in the renal pelvis and extends into the medulla and cortex which are gradually destroyed and replaced by lipid-laden macrophages or xanthoma cells (1). XGP is usually seen in the fifth and sixth decades of life, with a female preponderance. Most cases of XGP are unilateral; however, bilateral disease has also been reported and is generally fatal (2). The exact etiology of XGP is unknown, but it is usually associated with long-term renal obstruction and subsequent infection (3). Calculi may be seen in 75–86% of the patients, but our patient did not have any renal calculus (4). Culture shows Proteus and E. coli infection in 30–40% of cases (5). Additional predisposing factors include ureteropelvic junction syndrome, bladder tumor, and chronic interstitial nephritis. Comorbid conditions include pregnancy, diabetes mellitus, rheumatoid arthritis, chronic viral hepatitis C, cirrhosis, and obesity (6). Patients usually present with systemic features of malaise, fever with chills, and weight loss along with urinary complaints of flank pain, increased frequency of micturition, dysuria, and nocturia.

Ultrasound of XGP typically demonstrates an enlarged kidney with a large amorphous central echogenicity that corresponds to a renal pelvis staghorn calculus, multiple fluid-filled masses, and pelvic contracture (3, 6). Abdominal X-ray shows renal calculi (1). Contrast enhanced CT is a reliable method to establish the presence and extent of extrarenal involvement, leading to the diagnosis of XGP. The common CT findings of XGP include calculi, hydronephrosis, and hypodense areas with focal areas of parenchymal destruction filled with pus (1). In the focal form of the disease, CT reveals a poorly enhancing mass adjacent to a calyx or at the pole of the kidney (3). Magnetic resonance imaging can be a valuable tool due to its ability to identifying the accumulation of lipid-laden foamy macrophages (6).

The kidney in diffuse XGP is typically enlarged with hydronephrosis with associated pelvic calculi, radiation fibrosis, and carcinoma of the ureter. Single or multiple yellow nodules are present, which may mimic tumor nodules. Other findings include central necrosis with abscess formation, involvement of perinephric fat, diffuse cortical scarring with effacement of the normal renal architecture, and cortical atrophy (7, 8).

Microscopically, XGP is characterized by a diffuse or focal granulomatous mixed inflammatory infiltrate with fibrosis and cholesterol clefts in the background. The inflammatory infiltrate is composed of a variable number of xanthomatous histiocytes with foamy cytoplasm, neutrophils, lymphocytes, plasma cells, and multinucleated giant cells. Variable degree of renal tubular atrophy, tubular dilatation and microabscesses with spindle cell proliferation can be observed (11). The lesion shows diffuse positivity for CD68 and vimentin, and negativity for smooth muscle actin, desmin, and epithelial markers (6). The xanthomatous cells and macrophages show positive cytoplasmic staining for a1-antritrypsin and lysozyme (11).

The differential diagnosis of XGP includes clear cell RCC, sarcomatoid RCC, leiomyosarcoma, malakoplakia, tuberculosis, and interstitial nephritis (Table 1). The lipid-laden xanthomatous cells in XGP may mimic the clear cells of clear cell RCC. The xanthomatous cells have a foamy cytoplasm compared with the clearer cytoplasm of clear cells. Adequate sampling should reveal granulomatous inflammation of XGP and the papillary structures of papillary RCC. Immunohistochemical study can play an essential role in the differential diagnosis. XGP is diffusely positive for CD68. RCC is usually positive for CD10 and epithelial membrane antigen. Vimentin can stain positive for Vimentin can stain positive for both XGP and RCC. XGP with prominent spindle cell proliferation may mimic sarcomatoid RCC; the differentiation relies on demonstration of markedly atypical spindle cells and coexisting epithelial cell components. Sarcomatoid RCC demonstrates at least focal positivity for cytokeratin and epithelial membrane antigen. Leiomyosarcoma, another spindle cell lesion, is also in the differential diagnosis; it demonstrates interlacing bundles of spindle cells with blunt-ended nuclei and eosinophilic cytoplasm. These cells are positive for desmin and smooth muscle actin (8).

Table 1. Characteristic features of xanthogranulomatous pyelonephritis with its differential diagnosis.
Features XGP Clear cell RCC Sarcomatoid RCC Leiomyosarcoma Malakoplakia TB Interstitial nephritis
Clinical features Associated with large calculi and presents as infection with fever with chills and flank mass Presents as hematuria with abdominal mass and flank pain Presents as hematuria with abdominal mass and flank pain Mass and abdominal pain Dysuria and suprapubic pain. Associated with immune deficiency states and in renal transplant recipients Fever with dysuria Fever, rashes, hematuria, and oliguria. Associated with drug intake
USG Large amorphous fluid filled mass with calculi Large irregular solid to cystic variegated mass Large irregular solid to cystic mass Solid fleshy mass Nodular growth in the parenchyma Necrotic cheesy heterogeneous mass Enlarged kidney with diffuse hyperechogenicity in cortex.
CT Scan Hypodense mass with parenchymal destruction with pus Foci of hypoechoic and hyperechoic parenchymal mass with necrosis and hemorrhage Solid hypodense mass Solid hypodense mass Multiple irregular mass lesions with central hypodense area Amorphous masses of calcifications and cortical scarring Low attenuation round or wedge shaped cortical lesions
Microscopic Focal or diffuse mixed inflammatory infiltrate with variable number of xanthomatous histiocytes Sheets of neoplastic cells with foamy to clear cytoplasm Presence of markedly atypical spindle cells with malignant epithelial cells Interlacing bundles of atypical spindle cells with blunt end nuclei and eosinophilic cytoplasm Renal pelvis and parenchyma shows collection of histiocytes with Michaelis–Gutmann bodies which are PAS positive cytoplasmic inclusions Characteristic epithelioid granulomas Infiltrate of mononuclear cells, eosinophils, and few neutrophils in the interstitium
IHC/Special stains CD 68 and Vimentin positive SMA and CK negative CD 10, EMA, and CK positive CK and EMA focally positive Desmin and SMA positive PAS and Von Kossa positivity ZN stain shows AFB IgG4
CK, cytokeratin; EMA, epithelial membrane antigen; AFB, acid fast bacilli; ZN, ziehl neelsen; PAS, periodic acid schiff; SMA, smooth muscle actin; IHC, immunohistochemistry; RCC, renal cell carcinoma; TB, tuberculosis; USG, ultrasound; CT scan, computed tomography scan; SMA; XGP, xanthogranulomatous pyelonephritis.

Two benign closely related entities are malakoplakia and megalocytic interstitial nephritis. The key characteristic of both lesions is the periodic acid–Schiff diastase-positive material in the cytoplasm of the histiocytes. Malakoplakia of the kidney is primarily a disease of the renal pelvis with involvement of the renal parenchyma and Michaelis–Gutmann bodies are characteristic of the lesion (9). Other differential diagnoses include tuberculosis and renal abscess. Characteristic histology and special and immunohistochemistry stains usually lead to the right diagnosis.

Medical therapy alone is inadequate to treat XGP; antibiotics are a temporary measure for patients requiring medical work-up prior to nephrectomy. Total nephrectomy is the gold standard of treatment for XGP, unless both sides are affected in which case partial nephrectomy is performed (9). The prognosis is considered to be good after treatment (10).

Conclusion

XGP is an uncommon encounter on the surgical pathology bench and is associated with long-term urinary tract obstruction and infection. It mimics various benign and malignant conditions, both clinically and pathologically. It requires a combination of clinical presentation, imaging studies, and biopsies for a definite diagnosis.

References

  1. Craig WD, Wagner BJ, Travis MD. Pyelonephritis: Radiologic-pathologic review. Radiographics 2008;28(1):255–77. http://dx.doi.org/10.1148/rg.281075171
  2. Korkes F, Favoretto RL, Bro’glio M, Silva CA, Castro MG, Perez MD. Xanthogranulomatous pyelonephritis: Clinical experience with 41 cases. Urology 2008;71(2):178–80. http://dx.doi.org/10.1016/j.urology.2007.09.026
  3. Loffroy R, Guiu B, Watfa J, Michel F, Cercueil JP, Krause D. Xanthogranulomatous pyelonephritis in adults: Clinical and radiological findings in diffuse and focal forms. Arch Pathol Lab Med 2011;135:671–4.
  4. Zugor V, Schott GE, Labanaris AP. Xanthogranulomatous pyelonephritis in childhood: A critical analysis of 10 cases and of the literature. Urology 2007;70(1):157–60. http://dx.doi.org/10.1016/j.urology.2007.02.068
  5. Su YJ, Lai YC, Chou CY, Chang WH. Ischemic colitis secondary to xanthogranulomatous pyelonephritis. Int J Infect Dis 2009;13(3):89–91. https://doi.org/10.1016/j.ijid.2008.06.033
  6. Wen YK, Chen ML. Xanthogranulomatous pyelonephritis complicated by emphysematous pyelonephritis in a hemodialysis patient. Clin Nephrol 2007;68(6):422–7. http://dx.doi.org/10.5414/CNP68422
  7. Masoom S, Venkataraman G, Jensen J, Flanigan RC, Wojcik EM. Renal FNA-based typing of renal masses remains a useful adjunctive modality: Evaluation of 31 renal masses with correlative histology. Cytopathology 2009;20:50–5. https://doi.org/10.1111/j.1365-2303.2007.00515.x
  8. Ho CI, Wen YK, Chen ML. Xanthogranulomatous pyelonephritis successfully treated with antibiotics only. J Chin Med Assoc 2008;71(12):643–5. http://dx.doi.org/10.1016/S1726-4901(09)70008-5
  9. Tsai KH, Lai MY, Shen SH, Yang AH, Su NW, Ng YY. Bilateral xanthogranulomatous pyelonephritis. J Chin Med Assoc 2008;71(6):310–14. http://dx.doi.org/10.1016/S1726-4901(08)70128-X
  10. Hitti W, Drachenberg C, Cooper M. Xanthogranulomatous pyelonephritis in a renal allograft associated with xanthogranulomatous diverticulitis: Report of the first case and review of the literature. Nephrol Dial Transplant 2007;22(11):3344–7. http://dx.doi.org/10.1093/ndt/gfm458
  11. Lya Duarte R, Marinus ML, Mauricio C, Geraldo BS, Elizabeth DF, Daher D. Emphysematous and xanthogranulomatous pyelonephritis. Braz J Infect Dis 2010;14(4):374–6. http://dx.doi.org/10.1016/S1413-8670(10)70078-7