Download

Case Report: Nephrology

The indirect implication of SARS-CoV-2 resulting in Kayexalate toxicity in a patient with acute kidney injury

Charles E Middleton, IV, MD, William Daley, MD, Neha Varshney, MD*

Department of Pathology, University of Mississippi Medical Center, Jackson, MS, USA

Abstract

The clinical features of corona virus disease 2019 (COVID-19) are variable, but the majority of patients experience mild flu-like symptoms. The cases of severe disease include complications such as progressive pneumonia, acute kidney injury (AKI), multi-organ failure, and even death. This paper explores the association between COVID-19 and its effect on multiple organ systems and how the subsequent treatment of this disease can itself lead to morbidity and mortality. We present a case that emphasizes the life-threatening gastrointestinal complications associated with the treatment of AKI in a patient with COVID-19. We conclude that the patients whose treatment regimens utilize medical resins should be closely monitored for gastrointestinal complications so as to mitigate the known adverse effects associated with these drugs, such as colonic mucosal ulceration, perforation, or even death.

Key words: acute kidney injury, colonic perforation, COVID-19, Kayexalate, resins, sevelamer

Received: 25 November 2020; Accepted after Revision: 5 February 2021; Published: 27 February 2021.

Author for correspondence: Neha Varshney, MD, Assistant Professor, Department of Pathology, University of Mississippi Medical Center, 2500 North State Street, Jackson, MS 39216-4500, USA. Email: nvarshney@umc.edu

How to cite: Middleton CE, et al. The indirect implication of SARS-CoV-2 resulting in Kayexalate toxicity in a patient with acute kidney injury. J Ren Hepat Disord. 2021;5(1): 6–13.

Doi: http://dx.doi.org/10.15586/jrenhep.v5i1.88

Copyright: Middleton CE et al.

License: This open access article is licensed under Creative Commons Attribution 4.0 International (CC BY 4.0). http://creativecommons.org/licenses/by/4.0/

Introduction

Corona virus disease 2019 (COVID-19) associated with the severe acute respiratory syndrome coronavirus 2 (SARS-CoV-2) virus was first described in late 2019 but has since disseminated across the globe leading to a worldwide pandemic. Millions of cases have been reported thus far, and the numbers continue to rise.

The clinical features of COVID-19 are variable; however, the initial clinical presentation of the disease is usually asymptomatic or mild. Symptoms include fever, dry cough, sore throat, rhinorrhea, headache, fatigue, shortness of breath, bone pain, loss of smell and taste, nausea, vomiting, and diarrhea (13). Even though COVID-19 leads to mild flu-like symptoms in the majority of those affected, some patients may experience severe disease with complications such as progressive pneumonia, acute respiratory distress syndrome, acute cardiac injury, multi-organ failure, and ultimately death (2).

This paper explores the association between COVID-19 and its effect on multiple organ systems and how the subsequent treatment of this disease can lead to morbidity and mortality. We explore the indirect consequences of treatment in patients with COVID-19. Specifically, we present a case that emphasizes the life-threatening gastrointestinal complications associated with the treatment of acute kidney injury (AKI) in a patient with COVID-19.

Case Presentation

A 37-year-old male with past medical history of asthma and hypertension presented to an outside hospital with respiratory distress and presumed asthma exacerbation. He was initially placed on high flow nasal cannula and steroids. Testing for SARS-CoV-2 was reportedly positive. Remdesivir was administered, and he was subsequently intubated and placed on mechanical ventilation due to worsening respiratory status. Imaging reportedly showed patchy diffuse bilateral consolidative and ground-glass infiltrates. The patient’s white blood cell count was elevated, and he was placed on broad spectrum antibiotics. His outside hospital course was complicated by AKI with increased creatinine and hyperkalemia for which he was given Kayexalate (sodium polystyrene sulfonate [SPS]). After approximately 10 days of hospitalization and worsening condition, he was transferred to the University of Mississippi Medical Center (UMMC) for a higher level of care.

On admission to our institution, Remdesivir was held due to renal failure, and antibiotics were discontinued as he had received an appropriate duration at the outside hospital. He was started on heparin infusion due to the hypercoagulable state (elevated D-dimer). He was transferred to the medical intensive care unit for acute hypoxic respiratory failure in the setting of COVID-19 pneumonia complicated by AKI. Lab results were notable for continued hyperkalemia and elevated phosphorus for which the patient was treated with Lokelma (sodium zirconium cyclosilicate) and Renvela (sevelamer), respectively. Liver enzymes were also elevated (ALT 804 and AST 209).

After nearly 2 weeks of hospitalization at the UMMC, the patient’s hemoglobin began to drop and there was clinical concern for a gastrointestinal bleed. At this time, the patient did not have any abdominal pain but experienced one episode of non - bloody emesis for which a nasogastric tube was placed. Subsequently, he developed a distended abdomen and reported an episode of hematochezia, which prompted an abdominal X-ray that showed multiple dilated loops of small bowel with concern for pneumoperitoneum. Next, a computed tomography scan of the abdomen confirmed the pneumoperitoneum, and the patient was taken for exploratory laparotomy. Intraoperatively, bloody fluid was noted in the pelvis and a firm mass was palpated along the mid ascending colon, which was highly suggestive of colon cancer. A right hemicolectomy was performed.

The gross findings were significant for a single perforated ulcer in the ascending colon (3.2 × 2.6 × 0.4 cm) with multiple additional smaller ulcers ranging from 0.3 to 1.3 cm. Microscopic examination revealed a transmural ulcer associated with acute inflammation, hemorrhage, and necrosis. In addition, crystals with morphologic and tinctorial qualities consistent with Kayexalate and sevelamer were embedded within the fibrinopurulent exudate.

Discussion

The presentation of COVID-19 varies depending on the organs involved. The most frequent presenting symptoms of COVID-19 are fever (77.4–98.6%), cough (59.4–81.8%), fatigue (38.1–69.6%), dyspnea (3.2–55.0%), myalgia (11.1–34.8%), sputum production (28.2–56.5%), and headache (6.5–33.9%) (4, 5). Additional symptoms such as sore throat, rhinorrhea, chest pain, hemoptysis, conjunctival congestion, nausea, vomiting, and diarrhea occurred less frequently (4).

Epidemiology

The transmission of SARS-CoV-2 occurs via droplets from coughing, sneezing, or direct contact, while several studies assert that the fecal-oral pathway may also be a potential route of transmission (4). The virus affects all age groups, but the median age for those infected by the virus is greater than 60 years (6).

Factors that contribute to disease severity include preexisting comorbidities. Almost half of all patients diagnosed with COVID-19 have one or more comorbidities such as diabetes mellitus, cardiovascular disease, hypertension, chronic lung disease, chronic kidney disease (CKD), immunocompromising conditions, severe obesity (body mass index ≥ 40), liver disease, and malignancy (4, 6). The most common comorbidities in deceased patients are: arterial hypertension (70%), diabetes mellitus (31.7%), CKD (23.1%), atrial fibrillation (22.5%), chronic obstructive pulmonary disease (COPD) (18.1%), the presence of an active cancer within the previous 5 years (16.8%), ischemic heart disease (16%), and obesity 10% (6).

The diverse presentations of COVID-19 relate to the organ systems affected by the virus, which include respiratory, hematopoietic/immune, cardiovascular, urinary, gastrointestinal, reproductive, nervous, integumentary, and endocrine (711).

Pathophysiology

The pathogenicity of the SARS-CoV-2 virus begins with its entry into host cells. The main mechanism of infection lies in the high binding affinity of the virus with the angiotensin-converting enzyme 2 (ACE2) receptor (1, 4, 10, 12). The ACE2 protein is present in various human organs, including the lungs, heart, gastrointestinal tract, liver, kidney, spleen, lymph nodes, bone marrow, and brain (911, 13). In addition, SARS-CoV-2 relies on transmembrane protease serine 2 for successful attachment and subsequent infection (1, 6, 12, 14). The viral infection induces an immune response with excessive release of inflammatory cytokines and chemokines, which have the potential to cause acute respiratory distress and multiple organ failure (6, 9).

AKI in COVID-19

In addition to the respiratory system, the urinary system is affected in many patients with COVID-19. The postmortem analysis of kidney specimens shows histopathologic changes such as severe acute tubular necrosis (6, 8, 9). Researchers have suggested a high incidence of kidney injury in COVID-19, with over 40% of cases presenting with proteinuria at the time of hospital admission (6, 8, 15, 16).

The incidence of AKI among COVID-19 patients varies from 0.5 to 36.6% and tends to occur more frequently in those with severe disease (6, 8, 9, 11, 1619). Patients with a prior history of CKD are more likely to develop AKI, but even then, patients who developed AKI during the course of disease had a higher mortality rate, 5.3 times increased risk of death, as compared to those without AKI (6, 8, 18). The data from a meta-analysis of 26 studies suggested that the mortality of patients with COVID-19 who develop AKI may be 13 times higher than patients with COVID-19 who do not develop AKI (20).

Management of AKI in COVID-19

AKI is a common occurrence in COVID-19. Subsequent electrolyte disturbances, specifically hyperkalemia, associated with AKI is the most frequent renal complication with an incidence of 12.5% (11). As clinicians are able to recognize renal involvement in COVID-19 and execute appropriate treatment strategies, the subsequent development of AKI may be mitigated, thus reducing morbidity and mortality (16). Two common treatment strategies used thus far in addressing the symptomatology associated with COVID-19 are fluid resuscitation and ventilation (16). To date, there is no specific treatment for COVID-19-induced AKI (17).

Management of acute hyperkalemia depends on potassium level, and the presence or absence of electrocardiogram (EKG) changes. If EKG changes are present or if plasma potassium level is more than 6.5 mEq/L, emergent treatment should be administered (21). Calcium gluconate acts within minutes to stabilize the cardiomyocytes (21). The subsequent administration of glucose and insulin, or beta-agonists, works to shift potassium into the cells (21). Finally, agents that remove potassium from the body are administered. Furosemide stimulates potassium excretion via the renal tubules, effectively removing potassium through the urine; however, it is critical that patients have normal renal function to employ this method (21). Hemodialysis removes potassium through the blood and is the therapy of choice for life-threatening hyperkalemia in patients with compromised renal function (21). Another treatment option includes exchange resins, which remove potassium through the gastrointestinal tract, see Table 1.

Table 1: The use of medical resins in the management of electrolyte abnormalities in kidney failure and their associated adverse events.

Electrolyte abnormality Treatment Adverse events (2225)
Hyperkalemia Sodium polystyrene sulfonate (Kayexalate) Abdominal pain, diarrhea or constipation, bowel ischemia, ulcerations, necrosis, pseudomembranes, and perforations
Patiromer Hypomagnesemia, hypokalemia, constipation
Sodium zirconium cyclosilicate Minor gastrointestinal symptoms, urinary tract infection, edema, hypokalemia
Hyperphosphatemia Sevelamer (Renagel, Renvela) Erosions, ulcerations, and pseudoinflammatory polyps

SPS, originally approved for medical use in 1958, is an ion exchange resin that exchanges sodium for ammonium, calcium, magnesium, and potassium, essentially increasing potassium excretion via feces (22). Taking into account the list of potentially severe adverse effects, mentioned in Table 2, the U.S. Food and Drug Administration (FDA) issued a “black box” warning for the use of SPS (26). The potential for severe adverse events associated with the use of SPS have led to the suggestion that other treatment strategies be utilized before exchange resins are considered (22, 26). This leaves clinicians to weigh the risks and benefits of its use on a case by case basis (22). Initially, gastrointestinal mucosal injury was attributed to the sorbitol, which is commonly used in solution with the SPS; however, subsequent investigations showed that the resin itself is capable of causing injury as well (24, 27, 28).

Table 2: Comparison of medical resin appearances in histologic sections.

 
Features Sodium polystyrene sulfonate Sevelamer
Brand name Kayexalate Renagel, Renvela
Mechanism of action Potassium-binding agent Phosphate-binding agent
Shape Rectangular Rectangular
Texture Fish scales Fish scales
Hematoxylin and eosin Purple Pink (center), yellow (edges)
Kinyoun stain Black Magenta

Source: Adapted from Gonzalez (28).

In 2015, patiromer, a synthetic polymer consisting of non-absorbable spherical beads, was approved for use in the United States (22). With a similar mechanism of action to SPS, patiromer ultimately increases fecal potassium excretion in exchange for calcium (22). Sodium Zirconium Cyclosilicate is a non – absorbable selective cation exchanger approved for use in 2018 (22). It possesses high selectivity for potassium and binds greater than nine times the amount of potassium as compared with SPS (22).

In addition to potassium regulation, the kidney also plays a role in phosphate homeostasis. Accordingly, hyperphosphatemia contributes to morbidity associated with kidney dysfunction as well (29). Clinical manifestations of prolonged hyperphosphatemia consist of secondary hyperparathyroidism and soft-tissue calcification, which may involve vessel walls leading to atherosclerosis (30).

To combat the effects of elevated phosphate, phosphate binders are used to decrease oral phosphate absorption (29). Sevelamer is a non - absorbable resin that binds phosphate in the GI tract and increases the excretion through the feces (29). This resin requires high doses in order to lower the phosphate to an appropriate level; consequently, this high level of resin is associated with adverse events (29).

Medical resins are used to remove excess electrolytes from the body. The documented side-effect profile for these medications include primarily gastrointestinal symptoms. The adverse events linked to the potassium-binding agent SPS (Kayexalate) include bowel ischemia, ulcerations, necrosis, pseudomembranes, and perforations. The newer potassium-binding agent, Lokelma (sodium zirconium cyclosilicate), has less adverse events including edema and hypokalemia. The phosphate-binding agent, Renvela (sevelamer), has been associated with colonic mucosal erosions, ulcerations, and pseudoinflammatory polyps. If a patient who is treated with multiple resins experiences an adverse event, it becomes difficult to discern as to which offending agent is implicated in the mucosal injury.

These medical resins may be encountered in a colonic biopsy or resection specimen. Histologic identification may be difficult as the morphology may overlap between different resins (see Table 2 and Figures 1-8). However, once identified, these findings should be communicated to the clinical team.

Figure 1: Gross image of the right colon with a single, deep, cratered, perforated ulcer (3.2 × 2.6 × 0.4 cm) with multiple additional smaller ulcers in the ascending colon (ranging from 0.3 to 1.3 cm).

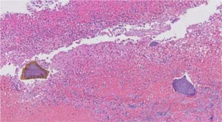
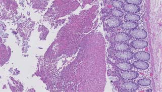
Figure 2: Low power image of colonic mucosa with fibrinopurulent exudate and crystals (Hematoxylin and eosin, 2× magnification).

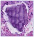
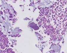
Figure 3: Medium power image of colonic mucosa with fibrinopurulent exudate and crystals (Hematoxylin and eosin, 5× magnification).

Figure 4: Medium power image of fibrinopurulent exudate and Kayexalate crystal (Hematoxylin and eosin, 10× magnification).

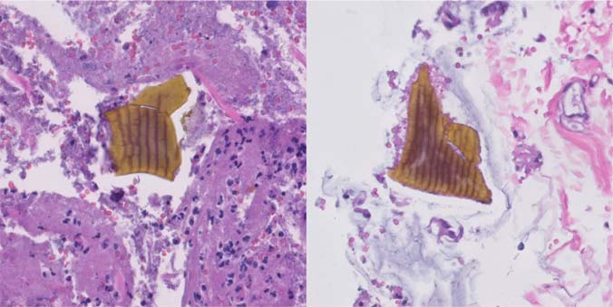
Figure 5: Medium power image of fibrinopurulent exudate, with sevelamer (left) and Kayexalate (right) crystals (Hematoxylin and eosin, 10× magnification).

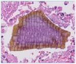
Figure 6: High power images of fibrinopurulent exudate and embedded Kayexalate crystals with purple color and typical fish-scale pattern (Hematoxylin and eosin, 20× magnification).

Figure 7: High power images of fibrinopurulent exudate and embedded sevelamer crystals with yellow color and fish-scale pattern (Hematoxylin and eosin, 20× magnification).

Figure 8: High power image of Kayexalate (left) and sevelamer (right) crystals with differential staining patterns (Kinyoun, 20× magnification).

Management of COVID-19

The treatment strategies for COVID-19 have been largely relegated to supportive care. Therapy has included empiric antibiotics, antiviral agents, corticosteroid treatments, intravenous immunoglobulin therapy, oxygen support, continuous renal replacement therapy, and extracorporeal membrane oxygenation (4).

Attempts to curtail the virus have been met with mixed results, but several antiviral drugs have been associated with less progression of the disease (7). One such drug, remdesivir, is a nucleotide analogue ribonucleic acid polymerase inhibitor with broad-spectrum antiviral activity (4). In vitro studies have shown remdesivir and chloroquine to be effective in the control of SARS-CoV-2 infection (4, 31).

Treatment of COVID-19 also has the potential to do harm. In addition to the virus injuring the hepatocytes, drug-induced hepatotoxicity can arise from medications used to treat patients with the illness. Hepatic enzymes are responsible for processing medications; therefore, the clinician must keep in mind the potential for drug-related hepatic toxicity. A multi-group clinical study evaluated liver injury in COVID-19 patients, showing that liver injury was related to disease severity (32). Patients with milder symptoms commonly showed transaminitis, while the degree of alanine aminotransferase and aspartate aminotransferase elevation was more pronounced in patients with severe disease (32).

Conclusion

The presentation of COVID-19 varies depending on the organs involved. The treatment of the extra pulmonary manifestations is supportive and in some cases the therapy itself causes morbidity and mortality. AKI is just one of the many complications of COVID-19. The electrolyte disturbances associated with AKI can lead to severe consequences such as cardiac arrhythmias. The aggressive treatment of these electrolyte imbalances is achieved in part by the use of medical resins. Patients who are being treated with these medical resins should be closely monitored for gastrointestinal complications so as to mitigate the known adverse effects associated with these drugs.

Treatment regimens involving a combination of resins may be used for patients with kidney failure. The case we present involves AKI in a patient with COVID-19 pneumonia. Interestingly enough, the patient was being treated with remdesivir as well. Both COVID-19 and remdesivir have been documented to cause renal injury. The use of antivirals in combination with multiple resins in the treatment of COVID-19 associated AKI has not been previously described and the potential for adverse events in these scenarios warrant further investigation.

Acknowledgements

Much appreciation for our first-year pathology resident, Ayush Srivastava, for performing the gross dissection of the surgical specimen.

Conflict of Interest

The authors declare no potential conflicts of interest with respect to research, authorship, and/or publication of this article.

REFERENCES

1. Mohanty SK, Satapathy A, Naidu MM, Mukhopadhyay S, Sharma S, Barton LM, et al. Severe acute respiratory syndrome coronavirus-2 (SARS-CoV-2) and coronavirus disease 19 (COVID-19)—Anatomic pathology perspective on current knowledge. Diagn Pathol. 2020;15(1):103. 10.1186/s13000-020-01017-8

2. Tahir F, Bin Arif T, Ahmed J, Malik F, Khalid M. Cardiac manifestations of coronavirus disease 2019 (COVID-19): A comprehensive review. Cureus. 2020;12(5):e8021. 10.7759/cureus.8021

3. Macera M, De Angelis G, Sagnelli C, Coppola N, Vanvitelli C-G. Clinical presentation of COVID-19: Case series and review of the literature. Int J Environ Res Public Health. 2020;17(14):5062. 10.3390/ijerph17145062

4. Ge H, Wang X, Yuan X, Xiao G, Wang C, Deng T, et al. The epidemiology and clinical information about COVID-19. Eur J Clin Microbiol Infect Dis. 2020;39(6):1011-1019.. 10.1007/s10096-020-03874-z

5. Pascarella G, Strumia A, Piliego C, Bruno F, Del Buono R, Costa F, et al. COVID-19 diagnosis and management: A comprehensive review. J Intern Med. 2020;288(2):192–206. 10.1111/joim.13091

6. Gagliardi I, Patella G, Michael A, Serra R, Provenzano M, Andreucci M. COVID-19 and the kidney: From Epidemiology to clinical practice. J Clin Med. 2020;9(8):2506. 10.3390/jcm9082506

7. Bal A, Agrawal R, Vaideeswar P, Arava S, Jain A. COVID-19: An up-to-date review—From morphology to pathogenesis. Indian J Pathol Microbiol. 2020;63(3):358–66. 10.4103/IJPM.IJPM_779_20

8. Zheng KI, Feng G, Liu WY, Targher G, Byrne CD, Zheng MH. Extrapulmonary complications of COVID-19: A multisystem disease? J Med Virol. 2020;93(1):323-335. 10.1002/jmv.26294

9. Deshmukh V, Motwani R, Kumar A, Kumari C, Raza K. Histopathological observations in COVID-19: A systematic review. J Clin Pathol. 2020;74(2):76-83. 10.1136/jclinpath-2020-206995

10. Gavriatopoulou M, Korompoki E, Fotiou D, Ntanasis-Stathopoulos I, Psaltopoulou T, Kastritis E, et al. Organ-specific manifestations of COVID-19 infection. Clin Exp Med. 2020;20(4):493-506.. 10.1007/s10238-020-00648-x

11. Kunutsor SK, Laukkanen JA. Renal complications in COVID-19: A systematic review and meta-analysis. Ann Med. 2020;52(7):345–53. 10.1080/07853890.2020.1790643

12. Calabrese F, Pezzuto F, Fortarezza F, Hofman P, Kern I, Panizo A, et al. Pulmonary pathology and COVID-19: Lessons from autopsy. The experience of European Pulmonary Pathologists. Virchows Arch. 2020;477(3):359–72. 10.1007/s00428-020-02886-6

13. Tian S, Xiong Y, Liu H, Niu L, Guo J, Liao M, et al. Pathological study of the 2019 novel coronavirus disease (COVID-19) through postmortem core biopsies. Mod Pathol. 2020;33(6):1007–14. 10.1038/s41379-020-0536-x

14. Kipshidze N, Dangas G, White CJ, Kipshidze N, Siddiqui F, Lattimer CR, et al. Viral coagulopathy in patients with COVID-19: Treatment and care. Clin Appl Thromb Hemost. 2020;26:1076029620936776. 10.1177/1076029620936776

15. Capuano I, Buonanno P, Riccio E, Pisani A. Acute kidney injury in COVID-19 pandemic. Nephron. 2020;144(7):345–6. 10.1159/000508381

16. Ronco C, Reis T, Husain-Syed F. Management of acute kidney injury in patients with COVID-19. Lancet Respir Med. 2020;8(7):738–42. 10.1016/S2213-2600(20)30229-0

17. Gabarre P, Dumas G, Dupont T, Darmon M, Azoulay E, Zafrani L. Acute kidney injury in critically ill patients with COVID-19. Intensive Care Med. 2020;46(7):1339–48. 10.1007/s00134-020-06153-9

18. Yan Q, Zuo P, Cheng L, Li Y, Song K, Chen Y, et al. Acute kidney injury is associated with in-hospital mortality in older patients with COVID-19. J Gerontol A Biol Sci Med Sci. 2020;20(20):1–7. 10.1093/gerona/glaa181

19. Na KR, Kim HR, Ham Y, Choi DE, Lee KW, Moon JY, et al. Acute kidney injury and kidney damage in COVID-19 patients. J Korean Med Sci. 2020;35(28):e257. 10.3346/jkms.2020.35.e257

20. Hansrivijit P, Qian C, Boonpheng B, Thongprayoon C, Vallabhajosyula S, Cheungpasitporn W, et al. Incidence of acute kidney injury and its association with mortality in patients with COVID-19: A meta-analysis. J Investig Med. 2020;68(7):1261–70. 10.1136/jim-2020-001407

21. Mushiyakh Y, Dangaria H, Qavi S, Ali N, Pannone J, Tompkins D. Treatment and pathogenesis of acute hyperkalemia. J Community Hosp Intern Med Perspect. 2011;1(4). 10.3402/jchimp.v1i4.7372

22. Long B, Warix JR, Koyfman A. Controversies in management of hyperkalemia. J Emerg Med. 2018;55(2):192–205. 10.1016/j.jemermed.2018.04.004

23. Dunlap RH, Martinez R. Total colectomy for colon perforation after kayexalate administration: A case report and literature review of a rare complication. J Surg Case Rep. 2016;2016(10):1–3. 10.1093/jscr/rjw167

24. Fiel DC, Santos I, Santos JE, Vicente R, Ribeiro S, Silva A, et al. Cecum perforation associated with a calcium polystyrene sulfonate bezoar—A rare entity. J Bras Nefrol. 2019;41(3):440–4. 10.1590/2175-8239-jbn-2018-0158

25. Yuste C, Merida E, Hernandez E, Garcia-Santiago A, Rodriguez Y, Munoz T, et al. Gastrointestinal complications induced by sevelamer crystals. Clin Kidney J. 2017;10(4):539–44. 10.1093/ckj/sfx013

26. Sterns RH, Grieff M, Bernstein PL. Treatment of hyperkalemia: Something old, something new. Kidney Int. 2016;89(3):546–54. 10.1016/j.kint.2015.11.018

27. Ayoub I, Oh M, Gupta R, McFarlane M, Babinska A, Salifu MO. Colon necrosis due to sodium polystyrene sulfonate with and without sorbitol: An experimental study in rats. PLoS One. 2015;10(9):1–8. 10.1371/journal.pone.0137636

28. Gonzalez RS, Lagana SM, Szeto O, Arnold CA. Challenges in diagnosing medication resins in surgical pathology specimens: A crystal-clear review guide. Arch Pathol Lab Med. 2017;141(9):1276–82. 10.5858/arpa.2016-0587-RA

29. Emmett M. A comparison of clinically useful phosphorus binders for patients with chronic kidney failure. Kidney Int Suppl. 2004(90):S25–32. 10.1111/j.1523-1755.2004.09005.x

30. Wrong O, Harland C. Sevelamer and other anion-exchange resins in the prevention and treatment of hyperphosphataemia in chronic renal failure. Nephron Physiol. 2007;107(1):17–33. 10.1159/000106568

31. Wang M, Cao R, Zhang L, Yang X, Liu J, Xu M, et al. Remdesivir and chloroquine effectively inhibit the recently emerged novel coronavirus (2019-nCoV) in vitro. Cell Res. 2020;30(3):269–71. 10.1038/s41422-020-0282-0

32. Wu J, Song S, Cao HC, Li LJ. Liver diseases in COVID-19: Etiology, treatment and prognosis. World J Gastroenterol. 2020;26(19):2286–93. 10.3748/wjg.v26.i19.2286